Эндокринология
Особенности течения фолликулярного рака щитовидной железы
Ключевые слова: заболеваемость раком щитовидной железы
На заболеваемость фолликулярным раком щитовидной железы (РЩЖ) (фолликулярная аденокарцинома) приходится около 12–15% (5–40%, по данным различных авторов) от всех случаев РЩЖ. Два варианта фолликулярного рака щитовидной железы, гюртлеклеточный (оксифильный) и инсулярный, чаще имеют худший прогноз, чем классический вариант рака [2]. В дифференциальной диагностике фолликулярной карциномы для выявления истинной сосудистой инвазии часто используют специальные гистохимические и иммуногистохимические методы, позволяющие четко выделять сосудистую стенку. Это не может быть установлено на дооперационном этапе с помощью пункционной биопсии (ТАПБ), а также во время операции при исследовании замороженных срезов. Цитологическое и экспресс-гистологическое исследо-вание в большинстве этих случаев ограничивается заключением фолликулярная неоплазия с неустановленным злокачественным потенциалом [3].
Гистологически фолликулярные карциномы подразделяются по степени выраженности инва-зивных свойств на минимально инвазивные и широко инвазивные. Минимально инвазивная фолликулярная карцинома характеризуется наличием грибовидных врастаний в капсулу опухоли и/или инвазией в кровеносные сосуды капсулы. Широко инвазивная фолликулярная карцинома отличается признаками массивной инвазии в кровеносные сосуды капсулы опухоли и распространением в окружающую паренхиму железы. По гистологическому строению фолликулярные карциномы практически ничем не отличаются от фолликулярных аденом. Тем не менее, фолликулярная карцинома чаще выявляется в опухолях микрофолликулярно-сулидного строения, а также в новообразованиях с резко утолщенной или неравномерной по ширине капсулой [3]. Всеми исследователями единодушно отмечается, что отдаленные метастазы значительно реже наблюдаются при минимально инвазивных фолликулярных карциномах по сравнению с широко инвазивной формой этих опухолей [5,6]. Согласно результатам Thompson L.D. et al., 18-летняя выживаемость больных с этой формой рака превысила 99% (по причине болезни умер один больной из 130 через 16 лет после операции) [6].
Цель исследования. Настоящая работа посвящена анализу особенностей течения фол-ликулярного РЩЖ.
Материал и методы. Изучался 151 случай первичного фолликулярного РЩЖ с 1999 по 2011 гг., из лечебно - профилактических учреждений (истории болезни, протоколы патогисто-логических исследований, амбулаторные карты, формы статистической отчетности). Заключительный диагноз устанавливался по результатам клинического обследования и после-операционного гистологического анализа. Рассчитывались среднегодовые показатели заболе-ваемости на 10 000 населения. Гистологический материал фиксировали нейтральным формалином, парафиновые срезы толщиной 4 мкм окрашивались гематоксилин - эозином, методом Шуенинова. Микроскопическое исследование осуществляли при помощи световой микроскопии в 100 – 400 раз.
Результаты и обсуждение. Фолликулярный рак является второй по частоте злокачествен-ной опухолью щитовидной железы, составляя в среднем около 28,54%±1,96 (n=151) от общего числа РЩЖ. У женщин показатель заболеваемости фолликулярным раком выше: 0,06±0,02 (n=121), у мужчин 0,01±0,01 (n=30; p0,05). Частота смертности от фолликулярного РЩЖ 0,0±0,01 (n=31).
Таблица
Показатели заболеваемости фолликулярным раком щитовидной железы в зависимости от возраста с 1999 по 2011 гг. (в % к итогу и на 10 000 населения)
| Возрастные группы, лет | 
 Число больных (в % к итогу) 
 | p±m | 
| 15–19 | 1 (0,67%±0,66) | 0,002±0,01 | 
| 20-24 | 2 (1,32%±0,93) | 0,01±0,02 | 
| 25–29 | 6 (3,97%±1,59) | 0,02±0,03 | 
| 30–34 | 8 (5,3%±1,82) | 0,03±0,04 | 
| 35–39 | 8 (5,3%±1,82) | 0,03±0,04 | 
| 40–44 | 14 ( 9,27%±2,36) | 0,04±0,04 | 
| 45–49 | 15 (9,93%± 2,43) | 0,05±0,05 | 
| 50–54 | 29 (19,21%±3,21) | 0,12±0,08 | 
| 55–59 | 11 (7,28%±2,11) | 0,07±0,07 | 
| 60–64 | 22 (14,57%±2,87) | 0,15±0,12 | 
| 65–69 | 16 (10,6% ± 2,51) | 0,11±0,1 | 
| 70–74 | 11 (7,28% ± 2,11) | 0,08±0,1 | 
| 75–79 | 7 (4,64%±1,71) | 0,08±0,11 | 
| 80 лет и старше | 1 (0,67%±0,66) | 0,02±0,07 | 
Опухоль характеризуется медленным ростом. Часто заболевание своевременно не диагнос-тируется, и имеющееся новообразование расценивается как аденома щитовидной железы. На разрезе новообразование имеет вид округлого узла коллоидного вида, с четко очерченной границей. На фоне каменистой плотности могут быть мягкие участки, которые связаны с некрозом опухоли в данном месте железы.

Рис. 1. Нативный препарат. Кистозная трансформация кровоизлияния в опухолевой ткани фолликулярного рака щитовидной железы

Рис. 2. Нативный препарат. Новообразование в виде округлого узла коллоидного вида
Цитологически опухоли с минимальной инвазией практически были неотличимы от фолликулярной аденомы, морфологический атипизм опухолевых клеток фолликулярного рака был выражен по-разному, иногда он практически отсутствовал. Патоморфологическая диагностика минимально инвазивных фолликулярных карцином была довольно сложной, поскольку необходимо установить истинную капсулярную и/или сосудистую инвазию капсулы. Для подтверждения или исключения инвазивного роста опухоли приходилось исследовать множественные срезы.

Рис. 3. Крупные и гиперхромные ядра в фолликулярном раке. Окраска гематоксилином и эозином. X 400

Рис. 4. Крупные и гиперхромные ядра в фолликулярной аденоме. Окраска гематоксилином и эозином. X 400
У пациентов с фолликулярным раком опухоль в основном имела минимальный инвазивный рост в капсулу, распространение и прорастание в соседние ткани обнаруживались в единичных случаях.

Рис. 5

Рис. 6

Рис. 7
Рис. 5,6,7. Минимальный инвазивный рост фолликулярной карциномы в капсулу. Окраска гематоксилином и эозином. X 400

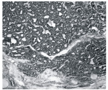
Рис. 8. Широкий инвазивный рост фолликулярной карциномы в капсулу. Окраска гематоксилином и эозином. X 200
В капсуле опухоли обнаруживались мелкие артерии и артериолы, а также венулы с диффузным отложением фибрина в стенках. Отложения фибрина наблюдались также и по ходу коллагеновых волокон (рис. 9).

Рис. 9. Диффузное отложение фибрина в стенках сосудов. Окраска методом Шуенинова. X 400
В фолликулярном раке степень сосудистой (рис. 10, 11, 12) и капсулярной инвазии опухоли имела несравненно бoльшее значение, чем ее размер.

Рис. 10

Рис. 11
Рис. 10,11. Начало прорастания стенок сосудов при фолликулярном раке щитовидной железы. Окраска гематоксилином и эозином. X 400

Рис. 12. Васкулярная инвазия при фолликулярном раке щитовидной железы. Окраска гематоксилином и эозином. X 400
Вовлечение регионарных лимфатических желез в патологический процесс менее часто, чем это встречается при папиллярном раке, если же имеются лимфогенные метастазы, то пальпируются плотные, нередко болезненные, регионарные лимфоузлы 15,23 %±2,92 (n=23).
У 27 больных (17,88%±3,11) уже при первом обращении к врачу были обнаружены отдаленные метастазы, что намного больше по сравнению с отдаленным метастазированием при папиллярном (раке 7,12% ± 1,53).
Из 27 больных фолликулярным РЩЖ с отдаленными метастазами в 29,62% (n=8) случаев были локализованы только в легких, в 22,22% – только в костях (n=6), в 14,81% (n=4) – только в средостении, в 3,7% (n=1) – в костях и легких, в 11,11% (n=3) – в костях и печени.
Таким образом, фолликулярный РЩЖ занимает второе место среди злокачественных опухолей щитовидной железы, который также в 3 раза чаще встречается у женщин с пиком клинической диагностики в возрасте 50–60 лет. По сравнению с другими дифференцированными формами тиреоидного рака, отдаленное метастазирование встречается чаще, чем и объясняется более агрессивное поведение. Отложения фибрина в стенках сосудов и капсуле, по всей вероятности, обеспечивают их повышенную проницаемость и создают благоприятный фон для капсулярной и сосудистой инвазии.
Литература
- Балаболкин М.И., Клебанова Е.М., Креминская В.М. Фундаментальная и клиническая тироидология. Руководство. М.: Медицина, 2007, 815 с.
- Берштейн Л.М. Рак щитовидной железы: эпидемиология, эндокринология, факторы и механизмы канцерогенеза. Практическая онкология, 2007, т. 8, 1. ББК Р 569.452.
- Богданова Т.И., Козырицкий В.Г., Тронько Н.Д. Патология щитовидной железы у детей (атлас). К.: Чернобыль, интеринформ, 2000, 158 с.
- Трошина Е.А., Мазурина Н.В., Абесадзе И.А., Юшков П.В., Егорычева Е.К. Фолликулярная неоплазия щитовидной железы (лекция). Проблемы эндокринологии, 2008, т. 52, N1, с. 22–25.
- Шлюмберже М., Пачини Ф. Опухоли щитовидной железы. Paris, Nucleon. 1999, 345 c.
- Franssila K.O., Ackerman L.V., Brown C.L. et al. Follicular carcinoma. Semin. Diagn. Pathol., 1985, 2, 2, p. 101-122.
 25.06.2012
25.06.2012                    Читайте также
Ключевые слова: диабетическая стопа, ишемия, лечение депротеинизированный гемодериват крови телят.
Цель работы — оценить возможность применения депротеинизированного гемодеривата крови телят (ДГКТ; «Солкосерил» производства «Легаси Фармасьютикалз Свитселенд ГмбХ»...
 10.01.2015
10.01.2015                                    Синдром диабетической стопы (СДС) является одним из наиболее серьезных и высокозатратных в терапии осложнений сахарного диабета (СД), которое развивается на фоне диабетической полинейропатии (ДПН)...
 10.01.2015
10.01.2015                                    Солкосерил, являясь препаратом, воздействующим на энергетический метаболизм тканей и нормализующим утилизацию глюкозы клетками, оказывает благоприятное воздействие при лечении макро- и микрососудистых осложнений сахарного диабета...
 10.01.2015
10.01.2015                                    
Сахарный диабет является социально значимым заболеванием. Количество больных сахарным диабетом неуклонно растет и в настоящее время в Росси по данным различных исследований составляет около 10 миллионов человек. Около 90 процентов...
 01.04.2013
01.04.2013                                    Ключевые слова: беременные, щитовидная железа, тиреоидные гормоны, хорионический гонадотропин, эстрогены, тироксинсвязывающий глобулин
В структуре заболеваемости щитовидной железы (ЩЖ) преобладают женщины, особенно репродуктивного периода [6]. Известно, что женщины в 1017 раз чаще...
Актуальной проблемой клинической медицины была и остается проблема ложного острого живота (ЛОЖ).Патогенетические механизмы ЛОЖ довольно сложны, многообразны и индивидуальны в каждом конкретном случае [3,5]...
Ключевые слова: метаболический синдром, артериальная гипертония, сахарный диабет
В последние десятилетия научно-технический прогресс оказывает существенное влияние на жизнь человека. Транспорт сделал его высокомобильным, современные информационные технологии...
Ключевые слова: заболеваемость раком щитовидной железы
В крови большая часть тиреоидных гормонов находится в связанном с белками-переносчиками состоянии и является биологически-неактивной...
 22.06.2012
22.06.2012                                    Ключевые слова: щитовидная железа, печень, связь
За последние годы в связи с растущим экологическим неблагополучием в большинстве стран мира наблюдается увеличение частоты заболеваний щитовидной железы (ЩЖ)...
Известный онколог С. А. Холдин писал: “Едва ли найдется еще какойнибудь орган, который при сравнительной несложности и однообразности структуры давал бы такое богатство форм и типов новообразовательного роста, как щитовидная железа” [1]...
Как указывает Шариманян С.С. в своей работе [5], изучением заболеваний щитовидной железы в республике до 1945 года никто не занимался, так как считалось, что их в Армении нет. Об этом свидетельствуют данные профессора Кеек А.С...
Облитерирующие заболевания сосудов нижних конечностей занимают первое место по клиническому значению и частоте проявления. Наиболее частой причиной окклюзий артерий является облитерирующий атеросклероз...
Одним из характерных признаков сахарного диабета, как инсулинзависимого (ИЗД), так и инсулиннезависимого (ИНЗД), является диабетическая макро- и микроангиопатия, носящая генерализованный характер...
Ключевые слова: обструктивное апноэ сна, сахарный диабет 2-го типа
Сахарный диабет 2-го типа (СД2) является одной из самых распространенных хронических заболеваний. Согласно данным Международной федерации по диабету, число взрослых...
 23.07.2010
23.07.2010                                     
                 
    
                 
                 
                
            САМЫЕ ЧИТАЕМЫЕ СТАТЬИ
- 
            
                                 Нормы роста и веса детей – данные ВОЗ Нормы роста и веса детей – данные ВОЗ
- 
            
                                 Зеленые выделения из влагалища: причины и лечение Зеленые выделения из влагалища: причины и лечение
- Анатомо-физиологические особенности дыхательной системы у детей
- 
            
                                 Насморк с кровью: причины симптома и способы лечения Насморк с кровью: причины симптома и способы лечения
- Анатомо-физиологические особенности сердечно-сосудистой системы у детей
- Анатомо-физиологические особенности пищеварительной системы у детей
- Анатомо-физиологические особенности мочевыделительной системы у детей
- Сравнительная характеристика параметров функции внешнего дыхания (обзор литературы)
- Современные представления о норме и патологических отклонениях размеров восходящей аорты при приобретенных пороках сердца
- Анатомо-физиологические особенности детей
- Анатомо-физиологические особенности костно-мышечной системы у детей
- Паллиативная химиотерапия рака: основные понятия и особенности (oбзор литературы)
- 
            
                                 Что можно и что нельзя делать после удаления аппендицита Что можно и что нельзя делать после удаления аппендицита
- 
            
                                 Увеличенные яичники: симптомы, причины и лечение Увеличенные яичники: симптомы, причины и лечение
- 
            
                                 О чем говорит головная боль за ухом? Причины, симптомы и лечение О чем говорит головная боль за ухом? Причины, симптомы и лечение
- 
            
                                 Характер мужчины проявляется в выборе позы для секса Характер мужчины проявляется в выборе позы для секса
- 
            
                                 Новейшие достижения онкологии в МЦ «Наири»: интервью с Артемом Степаняном. nairimed.com Новейшие достижения онкологии в МЦ «Наири»: интервью с Артемом Степаняном. nairimed.com
- 
            
                                 Как снизить риск инсульта. erebunimed.com Как снизить риск инсульта. erebunimed.com
- 
            
                                 Армянская ассоциация медицинского туризма (ААМТ) Армянская ассоциация медицинского туризма (ААМТ)
- 
            
                                 Желтые выделения из влагалища: причины и лечение Желтые выделения из влагалища: причины и лечение
- 
            
                                 Рвота у ребенка без температуры: возможные причины Рвота у ребенка без температуры: возможные причины
- Применение летрозола для стимуляции овуляции
- Врожденные аномалии и пороки развития
- 
            
                                 КАТИОНОРМ – представитель нового поколения искусственных слез для симптоматической терапии синдрома “сухого глаза” КАТИОНОРМ – представитель нового поколения искусственных слез для симптоматической терапии синдрома “сухого глаза”
- 
            
                                 Арам Бадалян: Родинку трогать нельзя? Арам Бадалян: Родинку трогать нельзя?
- Применение противоспаечных средств в профилактике спаечной болезни живота (oбзор литературы)
- 
            
                                 Как избавиться от лямблий — 25 эффективных рецептов народной медицины Как избавиться от лямблий — 25 эффективных рецептов народной медицины
- 
            
                                 Вздутие живота при месячных: 7 способов справиться с неприятным ощущением Вздутие живота при месячных: 7 способов справиться с неприятным ощущением
- 
            
                                 Компресс при ангине: будет ли полезным прогревание горла? Компресс при ангине: будет ли полезным прогревание горла?
- 
            
                                 Онкология является самой быстроразвивающейся отраслью медицины: интервью с Левоном Бадаляном Онкология является самой быстроразвивающейся отраслью медицины: интервью с Левоном Бадаляном
- 
            
                                 Лечение марганцовкой Лечение марганцовкой
- Некоторые новые подходы к системной терапии метипредом больных ревматоидным артритом
- Медицинские информационные системы.Информационная система для интегрального фармацевтического и здравоохранного мониторинга
- 
            
                                 Фармацевтическая опека Фармацевтическая опека
- Подходы к оперативному лечению костно-хрящевых экзостозов
- Повреждения при родах
- Инциденталома надпочечников
- 
            
                                 Курение марихуаны влияет на потенцию Курение марихуаны влияет на потенцию
- Применение индинола и эпигаллата при аденомиозе
- 
            
                                 Почему противозачаточные увеличивают грудь? Почему противозачаточные увеличивают грудь?







 
             
             
             
             
        





 Научная медицина
Научная медицина Болезни
Болезни Традиционная медицина
Традиционная медицина Здоровый  образ жизни
Здоровый  образ жизни Косметология
Косметология Медицинское право
Медицинское право Алгоритмы, тесты
Алгоритмы, тесты Цифры, факты, случаи
Цифры, факты, случаи Историческая хроника
Историческая хроника Афоризмы
Афоризмы Карьерная лестница
Карьерная лестница Дети
Дети Женщина
Женщина Мужчина
Мужчина Рейтинговая система
Рейтинговая система


 
             
             
             
         
     
     
    