Вопросы теоретической и клинической медицины 2.2011
Изучение биодеградирующих свойств мембраны из пчелиного воска в эктопическом очаге
В настоящее время насчитывают свыше трех де-сятков различных мембран, которые используют для изоляции костного дефекта от проникновения в него в период регенерации нежелательных видов клеток [1,3,6,10-12,14]. В литературе встречаются исследо-вания, где непосредственно сопоставляются различные виды мембран [7]. Сравнивая различные виды мембран, исследователи сходятся в том, что эффект их применения в значительной мере зависит от планирования по показаниям к реконструктивным операциям и их проведения, а так же от местных условий [9]. Вопрос о том, что недостаточная эффективность мембран связана с процессом их инфицирования в ране остается дискутабельным [15]. В ряде работ продемострирована негативная связь между количеством бактерий, контаминирующих мембрану, и снижением прироста костной ткани [2. 13]. Много-численными экспериментальными и клиническими исследованиями было доказано, что эффективность мембранной техники значительно повышается при совместном использовании мембран и подсадочных материалов [4-6. 8].
Целью настоящего исследования является изу-чение в эксперименте реакции окружающих тканей и сроков рассасывания мембраны из пчелиного воска при его имплантации в мышцы передней брюшной стенки крыс.
Материал и методы исследования
Опыты проводились на 50 белых беспородных
Рис. 1. Этапы имплантации мембраны из пчелиного воска в мышцы передней брюшной стенки 1) мембраны из пчелиного воска; 2) формирование кармана по размерам мембраны; 3) имплантация мембраны в формированный карман; 4) послойное зашивание раны
крысах средним весом до 150г. Животные были разделены на 2 группы: 1-контрольная, с созданием мышечного кармашка и 2-с эктопической имплантацией мембраны из пчелиного воска (МПВ). Под эфирным наркозом, тупым инструментом в косых мышцах пе-редней брюшной стенки создавался кармашек размером 1х0,5см, который соответствовал размеру МПВ (1х0,5см., толщиной 32-40мк) (рис. 1.2). У животных 1-ой группы кармашек оставляли пустым, а во 2-ой группе, в него имплантировали МПВ (рис. 1.3). Раны зашивались послойно, наглухо и обрабатывались 5% йодом (рис. 1.4). Животных выводили из опыта избыточной дозой эфира через 7, 15, 30, 60, 90, 120 и 180 суток. В эти сроки, изъятые после забоя животных тканевые блоки подвергались фиксации в 10% нейтральном растворе формалина и после проводки заливались в парафиновые блоки. Срезы, толщиной около 7-8мкм. окрашивались гематоксилин-эозином и пикрофуксином по ван Гизону.
Результаты и обсуждение
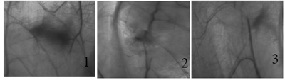
На первые сутки и последующие сроки наблюдений за животными не было обнаружено каких- либо существенных нарушений сроков и процессов заживления ран после произведенного оперативного вмешательства. У всех животных послеоперационные раны зажили первичным натяжением. В срок наблюдения 7 суток. После обнажения косых мышц передней брюшной стенки животных, была заметна область проведенного вмешательства (рис. 2.1). При от-делении и просвечивании лампой передней брюшной стенки животных, у контрольной группы обнаружено затемнение в виде полнокровия с очагами крово-излияния, нарушение русел кровеносных сосудов в области вмешательства. У животных опытной группы четко можно было определить контуры мембраны из пчелиного воска (рис.3.1). В обеих группах, по соседству с зоной вмешательства, имело место некоторое снижение просвечиваемости передней брюшной стенки, что видимо обусловлено развивающимся послеоперационным отеком. Микроскопически регенерационно-грануляционные процессы выражены в контрольной группе реактивно-воспалительной реакцией с новообразованными сосудами, сформи-рованными либо путем почкования сохранившихся, либо без связи с имеющимися сосудами. Участки разволокнения мышечных волокон пронизаны плазматическими клетками и соединительной- грануляционной тканью, представленной полиморфными клетками от эндотелиальных, фибробласти- ческих, гистоцитарных до скопления нейтрофилов и макрофагов, а также сетью волокон, расположенных между сосудами (рис. 4.1). В препаратах опытной группы не обнаруживается макрофагальная реакция, имеющиеся соединительнотканные элементы в основном фибробластические, однако выявляются широкие просветы между мышечными пучками, указывающие на присутствие мембраны (рис. 5.1).
Рис. 2 Макроскопическая картина области вмешательства в косых мышцах передней брюшной стенки животных контрольной группы (объяснение в тексте)
Наблюдения на 15-е сутки после операции мало отличались от результатов, полученных на 7-е сутки. Макроскопически имело место повышение про-зрачности передней брюшной стенки, исчезновение признаков отечности тканей. Область вмешательства у контрольной группы животных выглядела более прозрачной. В микропрепаратах отмечаются умеренные реактивно-воспалительные процессы с однотипными плотно расположенными одноядерными клетками и частично сохранившимися инфильтратами плазматического характера, присутствие тонкостенных сосудов капиллярного типа. Образование полос грубоволокнистой соединительной ткани в местах стыков разорванных волокон с упорядочиванием мышечных волокон (рис. 4.2). В опытной группе было заметно образование фиброзно-грануляционной ткани вокруг крупных вакулеобразных полостей (рис. 5.2). Последнее может свидетельствовать о начавшемся процессе биодеградации МПВ, которая фраг-ментируется на отдельные части и окутывается фи- бробластическими элементами.
На 30 сутки после имплантации мембраны в ложе. Макроскопически края мембраны стали более прозрачными и неровными, с мозаичной картиной (рис 3.2). Окружающие мембрану мышцы имеют строение, характерное для поперечно-полосатых мышц. Микроскопически прослеживалась гомогенизация поврежденных миофибрилл и пограничных участков мышц. Образование новых кровеносных сосудов и капилляров продолжалось (рис. 5.4). В гистограммах опытной группы количество фибробла- стов продолжало прогрессивно увеличиваться, наращивая зону грануляционной ткани, с уменьшением размеров пространств занятых мембраной. То есть, наблюдались процессы рассасывания МПВ и заме- шения этих участков фиброзно-ретикулярной тканью (рис. 5.4). Наблюдалось нарастание количества коллагенных волокон и формирование плотной грубоволокнистой соединительной ткани с развитой капиллярной сетью.
На 60 сутки после имплантации мембраны в мышечное ложе. Макроскопически область вмеша-тельства у контрольной группы была практически незаметна, почти полностью восстановилось сосудистое русло (рис. 2.2). В опытной группе животных мембрана напоминает картину мозаики с темными и более светлыми участками. Края мембраны неровные, зазубренные (рис. 3.4). Микроскопически местами отмечается инфильтрация сосудов с клеточными
Рис. 3 Макроскопическая картина области вмешательства в косых мышцах передней брюшной стенки живот-ных опытной групп (объяснение в тексте)
Рис. 4. Морфологическая картина области вмеша-тельства у животных контрольной группы (окраска гематоксилин-эозином, ув.х 60, объяснение в тексте)
Рис. 5. Морфологическая картина после эктопической имплантации мембраны из пчелиного воска (окраска гематоксилин-эозином, 1. 3. 4. 5. 6 ув.х 60, 2-ув.х 200 объяснение в тексте)
элементами, что подтверждает процесс ангиогенеза. Полости, занятые мембраной, различны по форме и размеру, окружены соединительной тканью с сосудами капиллярного типа, с коллагеновыми и эластическими волокнами, складывающимися в пучки.
Отсутствие соединительно-тканевой капсулы в зоне имплантации мембраны свидетельствует о био-совместимости материала. Все вышеописанные из-менения в области вмешательства у опытной группы животных можно оценить как результат активного рассасывания МПВ.
На 90-й день исследования зона вмешательства у контрольной группы животных макроскопически не определяется, полностью восстановилось сосудистое русло (рис. 2.3). В гистограммах лишь в некоторых препаратах прослеживаются линии спаек мышечных пучков (рис 4.3, 4.4). В опытной группе животных с имплантацией МПВ микроскопически примерно та же картина, что была описана на 60-й день исследования. Отмечается децентрация новообразованных волокон с сохранением микрополостей. Процесс формирования коллагеновых и эластических волокон активно продолжается, однако наблюдается уменьшение количества фибробластов и фиброгрануляционной ткани.
К четырех месячному сроку наблюдениий у жи-вотных опытной группы макроскопически заметны фрагменты мембраны, которые истончены, края зазубрены и неровны. В зоне вмешательства сосудистое русло практически восстановилось (рис. 3.5). Микроскопически заметно у опытной группы- неупорядоченное расположение мышечных волокон и местами сохранившиеся микрополости с неровными краями и с проникновением в них фиброзных тяжей и нежной сети соединительной ткани (рис. 5.5).
К концу эксперимента, на 180-ые сутки после оперативного вмешательства, у животных опытной группы наличие мембраны в мышечном ложе не на-блюдается, что свидетельствует о полном рассасывании мембраны. Сосудистое русло и прозрачность брюшной стенки были полностью восстановлены (рис. 3.6). Микроскопически во всех препаратах присутствовала восстановленная мышечная ткань с поперечной ориентацией волокон и сосудистой системой с участками сети фиброзной ткани, пронизанной грубоволокнистой с обрывками мышечных волокон (рис 5.6). Микроскопически заметны мышечные во-локна, нежная сеть фиброзной ткани, с участками грубоволокнистой ткани, которые свидетельствуют об окончательном формировании рубцовой ткани в области вмешательства.
Таким образом, исходя из результатов наших исследований можно заключить, что приготовленная нами мембрана из пчелиного воска является не только инертным имплантационным материалом, не вызывающим реакцию воспаления в области ее им-плантации, но и способствует нормальной регенерации. Следует отметить также тот факт, что пчелиный воск-это биологически активный продукт, имеющий высокие бактериоцидные свойства. Благодаря наличию в нем витамина А и некоторых других биологически активных веществ, он может стимулировать процессы регенерации и привести к быстрейшему заживлению поврежденных тканей. Сроки рассасывания мембраны таковы, что ее можно использовать как альтернативу другим известным мембранам с целью изоляции костных дефектов и аугментации кости, для создания условий успешного формирования, надежного сохранения и нормальной трансформации различных заменителей костной ткани и кровяного сгустка в области костного дефекта или при аугментации костной ткани. Обобщение данных по исследованию регенерационных процессов в зоне эктопической имплантации МПВ, показывает, что примененная нами МПВ вступает в процесс биоде- гратации к 15-ым послеимплантационным суткам и поэтапно фрагментируясь и рассасываясь, замещается соединительной тканью различной степени зрелости. Сроки рассасывания МПВ толщиной 35-40 мк. колеблются от 5 до 6 месяцев, что придает ей значимость для использования в костно-пластических операциях.
Список литературы
- Мустафаев М.Ш. Экспериментальная апробация и клиническое применение биорезорбируемых мембран в комплексном лечении переломов костей лицевого скелета и при реконструктивных операциях. Автореф. дис. д-ра мед. наук. М., 1998. 37 с.
- Чупахин В.П. Использование нерезорбируемых мем-бран для направленной регенерации тканей пародон- та. Дисс. канд. мед. наук. М., 2001. 170 с.
- Babusch Ch. Buenos Aires Argentina, 1999. International College oral Implants. World Congress.
- Becker W. J. Calif. Dent. Assoc. 1999. 27 (2). P. 118-124.
- Cordioli G., Majzoub Z., Riachi F. Int. J. Periodontics. Restorative Dent. 1999. 19 (1). P 44-55.
- Eickholz P., Lenhard M., Benn K.D., Staehle H. J. Perio-dontal. 1998. Vol. 69. №11. P. 1210-1217.
- Elharar F., Rodriguez H., Benque E., Caffesse R. J. Peri-odontal. 1998. Vol. 69. №11. P. 1218-1228.
- Falk H., Laurell L., Ravald N., Teiwik A., Persson R. J. Periodontol. 1999. Vol. 70 (9). P. 1085-1097.
- Fugazzoto P. J. Periodontol. 1999. Vol. 70 (9). P. 1085-1097.
- Parashis A., Andronikaki-Faldami A., Tsiklakis K. J. of Periodontology. 1998. Vol. 69. №7. P. 751-758.
- Tatakis D., Trombelli L. J. Periodontol. 1999. Vol. 70. №3. P. 23-9247.
- Vergara J., Quinones C., Nasjleti C., Caffesse R. J. Peri-odontol. 1997. Vol. 68. №3. P. 217-224.
- Yoshnari N., Toya T., Mori A., Koide M., Kawase H. J. Periodontol. 1998. Vol. 69. №11. P. 460-469.
- Zitzmann N., Naef R., Scharer P. Int. J. Oral Maxillo-facial Impl. 1997. Vol. 12. P. 844-852.
- Zucchelli G., Sforza N.M., Clauser C., Cesari C., M. J. Periodontol. 1999. Vol. 70. №3. P. 239-247.
19.07.2011 Читайте также
Известно, что артериовенозное шунтирование, изменение реологических свойств крови, централизация и снижение резервов кровообращения в той или иной степени присуще больным с варикозно-расширенными венами нижних конечностей (н/к)...
29.07.2011 Введение
Обеспечение безопасного прерывания беременности продолжает оставаться одной из актуальных про-блем современной репродуктологии. Искусственное прерывание беременности и небезопасный аборт могут значительно повлиять на здоровье женщины...
28.07.2011 Лечение гортанно-трахеального стеноза остается одной из актуальных проблем оториноларингологии, которая развивается в двух основных направлениях...
27.07.2011 Введение
В стоматологии, традиционная керамика (на основе полевого шпата) для реставрации, направленная на металлическую субструктуру и фиксируемая на зубах традиционным цементом, используется долгие годы [1,2]...
26.07.2011 Введение. Искусственное прерывание беременности в поздние сроки (с 13 до 22 недель) продолжает оставаться одной из самых трудноразрешимых проблем акушерства и гинекологии. Это обусловлено тем...
25.07.2011 Антибактериальные препараты занимают важное место среди лекарственных средств, применяемых в медицине. В настоящее время фторхинолоны (ФХ), благодаря существенной роли в терапии инфекционных процессов...
22.07.2011 Перфорация верхнечелюстной пазухи (ВЧП) занимает в этиологии одонтогенных гайморитов ведущее место и тенденции к снижению числа перфораций ВЧП, в том числе осложненных, не наблюдается [2-4,7]...
21.07.2011 Сепсис — это патологический процесс, в основе которого лежит реакция организма в виде генерализо-ванного (системного) воспаления на инфекцию раз-личной природы (бактериальную, вирусную, грибковую) [14]...
20.07.2011 В клинической практике воспалительнодеструктивные заболевания пародонта занимают значительное место. Доминирующим патоморфоло-гическим процессом при этих заболеваниях является воспаление тканей...
18.07.2011 Introduction
Diabetes mellitus is one of the most serous problems of medicine. The total number of people with diabetes is estimated as 171 million in 2000 projected and is going to rise to 366 million in 2030 [1]...
15.07.2011
САМЫЕ ЧИТАЕМЫЕ СТАТЬИ
-
Нормы роста и веса детей – данные ВОЗ
-
Зеленые выделения из влагалища: причины и лечение
- Анатомо-физиологические особенности дыхательной системы у детей
-
Насморк с кровью: причины симптома и способы лечения
- Анатомо-физиологические особенности сердечно-сосудистой системы у детей
- Анатомо-физиологические особенности пищеварительной системы у детей
- Анатомо-физиологические особенности мочевыделительной системы у детей
- Сравнительная характеристика параметров функции внешнего дыхания (обзор литературы)
- Современные представления о норме и патологических отклонениях размеров восходящей аорты при приобретенных пороках сердца
- Анатомо-физиологические особенности детей
- Анатомо-физиологические особенности костно-мышечной системы у детей
- Паллиативная химиотерапия рака: основные понятия и особенности (oбзор литературы)
-
Что можно и что нельзя делать после удаления аппендицита
-
Увеличенные яичники: симптомы, причины и лечение
-
О чем говорит головная боль за ухом? Причины, симптомы и лечение
-
Новейшие достижения онкологии в МЦ «Наири»: интервью с Артемом Степаняном. nairimed.com
-
Как снизить риск инсульта. erebunimed.com
-
Характер мужчины проявляется в выборе позы для секса
-
Армянская ассоциация медицинского туризма (ААМТ)
-
Желтые выделения из влагалища: причины и лечение
-
Рвота у ребенка без температуры: возможные причины
- Применение летрозола для стимуляции овуляции
- Врожденные аномалии и пороки развития
-
КАТИОНОРМ – представитель нового поколения искусственных слез для симптоматической терапии синдрома “сухого глаза”
-
Арам Бадалян: Родинку трогать нельзя?
- Применение противоспаечных средств в профилактике спаечной болезни живота (oбзор литературы)
-
Как избавиться от лямблий — 25 эффективных рецептов народной медицины
-
Вздутие живота при месячных: 7 способов справиться с неприятным ощущением
-
Компресс при ангине: будет ли полезным прогревание горла?
-
Онкология является самой быстроразвивающейся отраслью медицины: интервью с Левоном Бадаляном
-
Лечение марганцовкой
- Некоторые новые подходы к системной терапии метипредом больных ревматоидным артритом
- Медицинские информационные системы.Информационная система для интегрального фармацевтического и здравоохранного мониторинга
-
Фармацевтическая опека
- Подходы к оперативному лечению костно-хрящевых экзостозов
- Повреждения при родах
- Инциденталома надпочечников
-
Курение марихуаны влияет на потенцию
-
Почему противозачаточные увеличивают грудь?
- Применение индинола и эпигаллата при аденомиозе













Научная медицина
Болезни
Традиционная медицина
Здоровый образ жизни
Косметология
Медицинское право
Алгоритмы, тесты
Цифры, факты, случаи
Историческая хроника
Афоризмы
Карьерная лестница
Дети
Женщина
Мужчина
Рейтинговая система




