Врачи
Метод хемоэмболизации в современной медицине при злокачественном новообразовании печени. erebouni.am

Эмболизация-это инвазивное вмешательство, суть которого заключается в закрытии сосуда и артериовенозных мальформаций разных локализаций. Метод применяется как в сосудистой, так и в нейрохирургии.
Методом эмболизации можно лечить такого рода заболевания, которые ранее требовали открытого хирургического вмешательства: гемангиомы, артериовенозные мальформации, кровотечения внутренних органов, аневризмы сосудов головного мозга, миомы матки, новообразования различных локализаций и др.
Метод хемоэмболизации в современной медицине при злокачественном новообразовании печени
Важно отметить, что при большинстве вышеперечисленных вмешательств выполняются при местной анестезии, когда пациент находится в полном сознании.
При злокачественных новообразований печени в современной медицине используется метод хемоэмболизации- совмещение эмболизации с локальной хемотерапией, которая предусматривает двойной эффект: закупорка сосду, питающего опухоль и одновременное введение хемопрепарата, при котором достигается высокая концентрация лекарства без системного побочного эффекта.
Эффективность данного метода доказана научными исследованиям, применением на практике во всем мире и временем.
Метод хемоэмболизации в современной медицине при злокачественном новообразовании печени
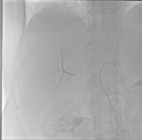
Селективная ангиография верхней брыжеечной артерии, от которой отходит собств. печеночная артерия
В мае 2014г. инвазивным кардиологом отдела ангиографии медицинского центра “Эребуни” Арсеном Цатуряном впервые была проведена операция – трансартериальная хемоэмболизация печеночной артерии, что заложило начало для дальнейшего проведения такого рода операций в стенах мц “Эребуни”.
21.03.2015г. больной И. А., у которой было злокачественное образование правой доли печени больших размеров, была проведена ангиография висцеральных артерий и селективная хемоэмболизация правой печеночной артерии с применением препаратoв Hepasphera 25 mg+Doxorubicin 100 mg.
Селективная ангиография правой печеночной артерии в состоянии после эмболизации (симптом “обгорелого дерева”- конечная точка эмболизации)
П/о период протекал нормально, у больной наблюдался постэмболизационный синдром (считается нормальным в постоперационный период), который купировался медикаментозно.
Для контроля эффективности проведенной эмболизации необходимо повторное КТ-исследование печени через месяц.
Больная была выписана на вторые сутки под наблюдение онколога.
Важно отметить, что данного рода операции проводятся только в медицинском центре «Эребуни».

Читайте также

Бокерия относится к небольшому числу кардиохирургов мира, которые выполняют весь известный арсенал операций на сердце при самой разнообразной патологии. Многие из операций и сегодня не имеют аналогов в мире. Лео Антонович...


Валентин Иванович Дикуль родился 3 апреля 1948 года в городе Каунас (Литва). Из-за смерти родителей мальчик жил в приюте. Там он освоил жонглирование и акробатику...


Рабочий кабинет кандидата медицинских наук, академика ряда международных академий, доктора Цолака Саакяна, расположенный в небольшом уголке его дилижанской квартиры, напомнил мне келью отшельника...


Армянский врач из Австрии – Ара Угурлуян, уже три года проводит бесплатные операции в Арцахе. Усилиями этого замечательного человека в австрийском городе Зальцбург в 2017 году были основаны армянская...


В последнее время все больше говорится о проблеме профессионального выгорания врачей. Например, этому был посвящен недавний опрос сайта Medscape. Этой проблемы с необычайной глубиной и мудростью...


ВОЗ, "Врачи без границ" и другие международные медицинские структуры трубят тревогу - как выяснилось, именно многочисленные паразиты, обитающие в организме людей, являются причиной...


-Какие изменения произошли за последнее время в отоларингологическом отделении медицинского центра “Эребуни” в плане профессионального развития врачей и внедрения медицинских нововведений?...


-Насколько актуальным было создание службы хирургии сосудов шеи и сердца в медицинском центре «Эребуни»?...


С 18-го июля в медицинском центре “Наири” проведет консультации ведущий специалист Республиканского научно-практического центра онкологии и медицинской...


Периодическое обследование на наличие рака молочной железы дает возможность обнаружить проблему на ранней стадии. С какой периодичностью и как нужно проходить маммографическое исследование...





САМЫЕ ЧИТАЕМЫЕ СТАТЬИ
-
Нормы роста и веса детей – данные ВОЗ
-
Зеленые выделения из влагалища: причины и лечение
- Анатомо-физиологические особенности дыхательной системы у детей
-
Насморк с кровью: причины симптома и способы лечения
- Анатомо-физиологические особенности сердечно-сосудистой системы у детей
- Анатомо-физиологические особенности пищеварительной системы у детей
- Анатомо-физиологические особенности мочевыделительной системы у детей
- Сравнительная характеристика параметров функции внешнего дыхания (обзор литературы)
- Современные представления о норме и патологических отклонениях размеров восходящей аорты при приобретенных пороках сердца
- Анатомо-физиологические особенности детей
- Анатомо-физиологические особенности костно-мышечной системы у детей
- Паллиативная химиотерапия рака: основные понятия и особенности (oбзор литературы)
-
Что можно и что нельзя делать после удаления аппендицита
-
Увеличенные яичники: симптомы, причины и лечение
-
О чем говорит головная боль за ухом? Причины, симптомы и лечение
-
Характер мужчины проявляется в выборе позы для секса
-
Новейшие достижения онкологии в МЦ «Наири»: интервью с Артемом Степаняном. nairimed.com
-
Как снизить риск инсульта. erebunimed.com
-
Армянская ассоциация медицинского туризма (ААМТ)
-
Желтые выделения из влагалища: причины и лечение
-
Рвота у ребенка без температуры: возможные причины
- Применение летрозола для стимуляции овуляции
- Врожденные аномалии и пороки развития
-
КАТИОНОРМ – представитель нового поколения искусственных слез для симптоматической терапии синдрома “сухого глаза”
-
Арам Бадалян: Родинку трогать нельзя?
- Применение противоспаечных средств в профилактике спаечной болезни живота (oбзор литературы)
-
Как избавиться от лямблий — 25 эффективных рецептов народной медицины
-
Вздутие живота при месячных: 7 способов справиться с неприятным ощущением
-
Компресс при ангине: будет ли полезным прогревание горла?
-
Онкология является самой быстроразвивающейся отраслью медицины: интервью с Левоном Бадаляном
-
Лечение марганцовкой
- Некоторые новые подходы к системной терапии метипредом больных ревматоидным артритом
- Медицинские информационные системы.Информационная система для интегрального фармацевтического и здравоохранного мониторинга
-
Фармацевтическая опека
- Подходы к оперативному лечению костно-хрящевых экзостозов
- Повреждения при родах
- Инциденталома надпочечников
-
Курение марихуаны влияет на потенцию
- Применение индинола и эпигаллата при аденомиозе
-
Почему противозачаточные увеличивают грудь?