Լուրեր
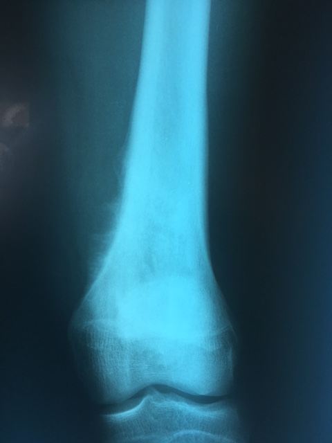
Ազդրոսկրի դիստալ հատվածի և ծնկան հոդի սեգմենտար մասնահատում` վերջույթի ֆունկցիայի պահպանումով. oncology.am

Հիվանդ Ն., 1998 թ.ծ., ընդունվել է ՈւԱԿ 2016թ. հուլիսին, որտեղ ախտորոշվել է` աջ ազդրոսկրի դիստալ հատվածի օստեոգեն սարկոմա: Հիվանդը ստացել է 4 կուրս նախավիրահատական քիմիաթերապիա, որից հետո վիրահատվել է: Կատարվել է` ազդրոսկրի դիստալ հատվածի և ծնկան հոդի սեգմենտար մասնահատում մեգաէնդոպրոթեզավորումով:
Վիրահատությունն իրականացրել են Ոսկրային պաթոլոգիայի բաժանմունքի վարիչ Սերգեյ Սեինյանը, օրթոպեդ-ուռուցքաբաններ Ալեքսանդր Սեինյանը և Էդգար Նիկողոսյանը:
Հետվիրահատական շրջանում հիվանդը կրկին ստացել է 4 կուրս քիմիաթերապիա:
Վերջույթի ֆունկցիան պահպանված է։

Կարդացեք նաև

Սեպտեմբերի 13-ին Երևանում տեղի ունեցավ «Էրեբունի» ճառագայթային թերապիայի նոր կենտրոնի բացումը, որը կարևոր քայլ է Հայաստանի առողջապահական...


Երբ մի ամբողջ կյանք արժե ոչ միայն րոպեն, այլև վայրկյանը. խոսքն Emergency ծառայության մասին է՝ անհետաձգելի բուժօգնության...


Վնասվածքաբանության և ՄՌՏ ծառայության բաժանմունքների նախաձեռնությամբ տեղի ունեցավ հետաքրքիր նախագիծ...


«Էրեբունի» բժշկական կենտրոնի միանգամից երկու վիրասրահներում աշխարհահռչակ վիրաբույժներ են: Նրանք կատարում են Հայաստանի համար դեռևս բացառիկ վիրահատություններ...


Պատերազմի ընթացքում հերոսաբար զոհված Ռաֆիկ Հակոբյանի մայրը՝ Լալա Բախտիկյանը «Էրեբունի» ԲԿ ծննդատան բարձր ռիսկի բաժանմունքի ղեկավար Էդիտա Ղարիբյանի...


«Նաիրի» բժշկական կենտրոնը ստացել է հավատարմագրման վկայագիր և ճանաչվել Եվրոպական ուսումնական կենտրոն՝ գինեկոլոգիական օնկոլոգիայի ոլորտում...


Գինեկոլոգիական ուռուցքաբանության եվրոպական միության (ESGO) փորձագետները «Նաիրի» ԲԿ-ում իրականացնում են մասնագիտական աուդիտ...





ԱՄԵՆԱԸՆԹԵՐՑՎԱԾ ՀՈԴՎԱԾՆԵՐԸ
-
Ժողովրդական դեղամիջոցներ
-
Հղիություն. 4-րդ ամիս
-
Հղիություն. 7-րդ ամիս
-
Կոճապղպեղ նույնն է՝ իմբիր, Ginger եւ Zingiber Officinale
-
«Արագիլ» հիմնադրամը ստեղծված է՝ օգնելու անպտղությամբ տառապող զույգերին. Կարինե Թոխունց
-
Հղիություն. 6-րդ ամիս
-
Հղիություն. 2-րդ ամիս
-
Ամուսնական առաջին գիշերը
- 4-7 ամսական երեխաների սնուցումը
-
Ընկերության մասին
-
Խնձորը` պզուկների դեմ. ազատվիր նրանցից 1 գիշերվա ընթացքում
-
Ինչպես ազատվել անցանկալի մազերից
-
Պարզվում է ապագա երեխայի սեռը կախված է մայրիկի սնունդից
-
Դդում
-
Հիվանդություն, որը փոխում է մեր կյանքը` կրծագեղձի քաղցկեղ
-
Կոճապղպեղ՝ նիհարելու համար (կոճապղպեղի թեյ)
-
Սեռական գրգռում
-
Արգանդի միոմա. նախանշանները, պատճառներն ու բուժումը
-
Հղիություն. 1-ին ամիս
-
Երիցուկ դեղատնային - Ромашка аптечная - Matricaria chamomilla L.
-
Չիչխանի օգտակար հատկությունները
-
Քարավուզ (նույն ինքը՝ նեխուր)
-
Ինչպես ազատվել բերանի վատ հոտից`պարզ միջոց
-
Դիմակներ` մազերի համար
-
Կրծքի ցավե՞ր ունեք. ինչ անել
-
Հեշտոցային արտադրության պատճառները. մասնագետի անդրադարձը
-
Ընդհանուր տեղեկություններ մարմնի համակարգերի մասին
- Բերանի խոռոչի լորձաթաղանթի ախտահարումը սովորական բշտախտի ժամանակ (սկիզբը` նախորդ համարում)
-
Հիվանդություն, որի համար պետք չէ ամաչել (թութք)
-
Ընտրություն ըստ հորոսկոպի
- Խոսենք այդ մասին. ձեռնաշարժություն
-
Հղիությունը և նախապատրաստվելը դրան
-
Երբ գլխացավն ախտանիշ է: Հանճարեղ և օժտված մարդկանց հիվանդություն
-
Լեղաքարային հիվանդություն. բուժման մեթոդները
-
Սեռական թուլության առաջին նախանշանները. news.am
-
Ուլտրաձայնային դոպլերոգրաֆիա (երկակի (դուպլեքս) անոթների)
-
Էկզեմայի տեսակները և բուժումը
-
Իրիդիոսքրինինգ
-
ՈւՆԱԲԻ: Արևելյան բժշկության գաղտնիքները
-
Գամմա-դանակը նշտարի փոխարեն