ԼՈՒՐԵՐ: Նոր ախտորոշիչ մեթոդներ
Mayo Clinic-ի մասնագետները General Electric ընկերության հետ համատեղ արդեն 8 տարի սարք են մշակում մագնիսառեզոնանսային տոմոգրաֆիայի համար, որը սովորական տոմոգրաֆից անհամեմատ ավելի փոքր կլինի...
01.07.2016
Ճապոնացի գիտնականներն առաջին անգամ մեզի հետազոթության օգնությամբ քաղցկեղային մի քանի հիվանդություն ախտորոշելու մեթոդ են մշակել: Այդ մասին հայտնել է Hitachi ընկերությունը, որը Sumitomo ընկերության հետ...
15.06.2016
North Carolina State University-ի գիտնականները հատուկ թեւնոց են մշակել, որը կարող է կանխատեսել ասթմատիկ նոպան: Թեւնոցը զինված է հատուկ սենսորով, որը չափում է ջերմաստիճանը, օզոնի խտությունը...
07.06.2016
Մատնահետքերը կարող են օգնել ո՛չ միայն քրեական հանցագործների հետաքննությանը, այլև հիվանդությունը ճիշտ ախտորոշելու կամ որոշելու շաքարախտի նկատմամբ հակվածությունը, հայտնում է newsyou.info-ն...
04.04.2016
Սթենֆորդի համալսարանի Բժշկության դպրոցի գիտնականներն (ԱՄՆ) արյան նոր հետազոտություն են մշակել, որը թույլ է տալիս ախտորոշել տուբերկուլոզը եւ որոշել, թե որքանով է վարակիչ: Հետազոտությունը հիմնված է...
24.02.2016
Տոմսկի պետական համալսարանի գիտնականների խումբը Թիմուր Մուկսունովի ղեկավարությամբ նոր գազային անալիզատոր է մշակել, որի օգնությամբ հնարավոր է գնահատել սննդի, դիմահարդարման միջոցների եւ բժշկական...
16.02.2016
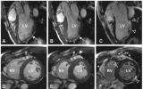
Charité-Universitätsmedizin Berlin համալսարանի եւ Max Delbrück Center կենտրոնի գերմանացի գիտնականներն առաջին անգամ սրտաբանական հետազոտությունների համար 7Տ-ՄՌՏ են օգտագործել: Կարդիովասկուլյար մագնիսառեզոնանսային...
16.02.2016
ԱՄՆ-ի Կալիֆոռնիայի համալսարանի գիտական թիմը մշակել է քաղցկեղի ախտորոշման 10 րոպեանոց թեստ, որն իրականացվում է թքի միջոցով: Ինչպես նշում է The Telegraph-ը, «հեղուկ բիոպսիայի» թեստի ժամանակ ուսումնասիրվում...
15.02.2016
Վաշինգթոնի համալսարանի գիտնականները մի շարք այլ հետազոտական կազմակերպություններից գործընկերների հետ միասին կոմպակտ մանրադիտակ են ստեղծել, որի օգնությամբ հնարավոր է արագ եւ որակյալ պատկերներ...
02.02.2016
ԱՄԵՆԱԸՆԹԵՐՑՎԱԾ ՀՈԴՎԱԾՆԵՐԸ
-
Ժողովրդական դեղամիջոցներ
-
Հղիություն. 4-րդ ամիս
-
Հղիություն. 7-րդ ամիս
-
Կոճապղպեղ նույնն է՝ իմբիր, Ginger եւ Zingiber Officinale
-
«Արագիլ» հիմնադրամը ստեղծված է՝ օգնելու անպտղությամբ տառապող զույգերին. Կարինե Թոխունց
-
Հղիություն. 6-րդ ամիս
-
Հղիություն. 2-րդ ամիս
-
Ամուսնական առաջին գիշերը
- 4-7 ամսական երեխաների սնուցումը
-
Ընկերության մասին
-
Խնձորը` պզուկների դեմ. ազատվիր նրանցից 1 գիշերվա ընթացքում
-
Ինչպես ազատվել անցանկալի մազերից
-
Պարզվում է ապագա երեխայի սեռը կախված է մայրիկի սնունդից
-
Դդում
-
Հիվանդություն, որը փոխում է մեր կյանքը` կրծագեղձի քաղցկեղ
-
Կոճապղպեղ՝ նիհարելու համար (կոճապղպեղի թեյ)
-
Սեռական գրգռում
-
Արգանդի միոմա. նախանշանները, պատճառներն ու բուժումը
-
Հղիություն. 1-ին ամիս
-
Երիցուկ դեղատնային - Ромашка аптечная - Matricaria chamomilla L.
-
Չիչխանի օգտակար հատկությունները
-
Քարավուզ (նույն ինքը՝ նեխուր)
-
Ինչպես ազատվել բերանի վատ հոտից`պարզ միջոց
-
Դիմակներ` մազերի համար
-
Կրծքի ցավե՞ր ունեք. ինչ անել
-
Հեշտոցային արտադրության պատճառները. մասնագետի անդրադարձը
-
Ընդհանուր տեղեկություններ մարմնի համակարգերի մասին
- Բերանի խոռոչի լորձաթաղանթի ախտահարումը սովորական բշտախտի ժամանակ (սկիզբը` նախորդ համարում)
-
Հիվանդություն, որի համար պետք չէ ամաչել (թութք)
-
Ընտրություն ըստ հորոսկոպի
- Խոսենք այդ մասին. ձեռնաշարժություն
-
Հղիությունը և նախապատրաստվելը դրան
-
Երբ գլխացավն ախտանիշ է: Հանճարեղ և օժտված մարդկանց հիվանդություն
-
Լեղաքարային հիվանդություն. բուժման մեթոդները
-
Սեռական թուլության առաջին նախանշանները. news.am
-
Ուլտրաձայնային դոպլերոգրաֆիա (երկակի (դուպլեքս) անոթների)
-
Էկզեմայի տեսակները և բուժումը
-
Իրիդիոսքրինինգ
-
ՈւՆԱԲԻ: Արևելյան բժշկության գաղտնիքները
-
Գամմա-դանակը նշտարի փոխարեն















Գիտական բժշկություն
Հիվանդություններ
Ավանդական բժշկություն
Առողջ ապրելակերպ
Կոսմետոլոգիա
Բժշկական իրավունք
Ալգորիթմեր, թեստեր
Թվեր, փաստեր, դեպքեր
Պատմական խրոնիկա
Աֆորիզմներ
Կարիերային սանդուղքով
Երեխա
Կին
Տղամարդ
Ռեյթինգային համակարգ