ԼՈՒՐԵՐ: Սիրտ-անոթային համակարգ
«Էրեբունի» ԲԿ-ում փրկել են ծայրահեղ ծանր վիճակում գտնվող հիվանդի կյանքը: Նրա մոտ ախտորոշվել էր աորտայի վերջնամասի մեծ անեւրիզմա: Գոտկային հատվածում աորտան նորմայից 3 անգամ ավելի էր լայնացած եւ ընդգգրկում էր...
06.06.2019
«Նաիրի» բժշկական կենտրոնը` լինելով առաջատար կլինիկաներից, հավատարմորեն պահպանում է իր այցելուների համար ժամանակակից պայմանների ապահովումն ու բարձրակարգ սպասարկումը: Բարեբախտաբար, առայսօր...
17.04.2019
44-ամյա տղամարդուն բժշկական կենտրոն են հասցրել ծայրահեղ ծանր վիճակում, կրծքավանդակի աջ պատի` սրտի պրոեկցիայով ծակած-կտրած վերքով, մթագնած գիտակցությամբ, 60/30 զարկերակային ճնումով: Օրվա ավագ հերթապահ...
21.02.2019
Վերջին շրջանում մեծ ուշադրություն է հատկացվում ֆիզիկական ակտիվության և ճիշտ սննդի անհրաժեշտությանը: Դրանք երկուսն էլ պետք է ամրացնեն մեր առողջությունը, այդ թվում նաև` սիրտ-անոթային համակարգը...
07.02.2019
«Նաիրի» ԲԿ անոթային վիրաբուժության բաժանմունքում իրականացվում են շաքարային դիաբետի հետևանքով առաջացած անոթային խնդիրների բուժում և վիրահատություններ: Իրականացվում են դիաբետիկ անգիոպաթիաների հետևանքով...
27.11.2018
Վերջույթների ծայրահեղ (կրիտիկական) իշեմիայով հիվանդ 65 տոկոսից ավելի պացիենտների վերադարձրել են նրանց աշխատունակությունը...
24.11.2018
Էրեբունի ԲԿ առիթմոլոգիական ծառայությունը, որն այսօր հանրապետության առաջատարն է, կատարում է սրտի ռիթմը վերականգնող այն բոլոր միջամտությունները, որոնք իրականացնում է ժամանակակից բժշկական աշխարհը...
24.11.2018
European Heart Journal հրապարակել է Աստոնի համալսարանի գիտնականների կողմից իրականացված մեծածավալ հետազոտության արդյունքները, որոնք հայտնաբերել են օրգանիզմում բարձր խոլեսթերինի անսպասելի օգտակարությունը...
06.11.2018
Սրտի բարդ վիրահատությունը սիրտ-անոթային հիվանդություններով տառապողների մոտ երբեմն արյունամատակարարման վերականգնման միակ հնարավորությունն է: Գիտնականների իրականացրած հետազոտություններն...
18.10.2018
Հայաստանում է հոլանդացի հայտնի բժիշկներից մեկը՝ Տամաս Զիլի-Տորոկը: Նա «Էրեբունի» բժշկական կենտրոնի իր գործընկերների հետ կատարել է առիթմիաների բարդ դեպքերի միջամտություներ եւ խորդհրդատվություն...
09.10.2018
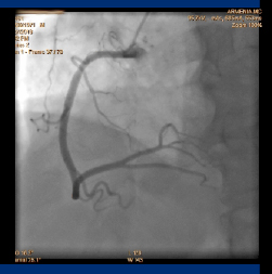
Պացիենտը` տղամարդ, 46 տարեկան, ամուսնացած է, ունի երկու երեխա, վարել է ակտիվ կյանք: Պացիենտի մոտ առկա են ռիսկի գործոններ. ակտիվ ծխող (օրական մինչեւ երկու տուփ), խոլեսթերինի բարձր ցուցանիշ:
Ս/թ փետրվարի 27-ին դիմել է «Արմենիա» ՀԲԿ, որտեղ ախտորոշվել է սրտամկանի սուր ինֆարկտ` ST- սեգմենտի էլևացիայով առաջային պատին (STEMI): Շտապ կատարվել է կորոնարոգրաֆիա, որպես մուտք օգտագործվել է աջ ճաճանչային զարկերակը (right radial artery): Արդյունքում իրականացվել է ստենտավորում մեկ ոչ դեղապատ ստենտով, Abbott Vascular MULTI-LINK 8LL 3.5mm x 38mm (BMS) stent` /27.02.2018/-in stent 100% total occlusion with thrombus): Դուրս է գրվել բավականին բարձրացած կծկողական ֆունկցիայով` 33-35%:
Որոշ ժամանակ անց պացիենտը երկու օր չի ընդունել դեղը (Պլավիքս), ինչը հանգեցրել է ծանր՝ կյանքին վտանգ սպառնացող իրավիճակի:
Ս.թ. ապրիլի 19-ին պացիենտը նորից դիմել է «Արմենիա» ՀԲԿ: Հիվանդի մոտ առկա էր շնչարգելություն, հեւոց, շատ փոքր լարվածությունից՝ հոգնածություն, շնչահեղձություն, և կրծքավանդակի հետկրծոսկրային ուժեղ սեղմող բնույթի ցավեր: Այս անգամ նույնպես ախտորոշվել էր սրտամկանի սուր ինֆարկտ: Ներկայում բարդությունը նրանում էր, որ սրտամկանի ինֆարկտն ուղեկցվում էր սրտի ռիթմի լուրջ խանգարումներով. Հիսի խրձի աջ ոտիկի պաշարում, փորոքային եւ վերփորոքային էքստրասիստոլաներ NYHA III:
Նույն օրը` ապրիլի 19-ին իրականացվել է սելեկտիվ ռեկորոնարոգրաֆիա: Արդյունքում հայտնաբերվել է, որ կորոնար անոթավորումն աջ դոմինանտ տիպի է, ձախ առաջային վայրէջ կորոնար զարկերակը (LAD) աթերոսկլերոտիկ ախտահարված է, մոտակա-միջին հատվածում վաղ իմպլանտացված ոչ դեղապատ ստենտը տոտալ խցանված է ՝100% թրոմբոտիկ զանգվածի առկայությամբ: Գոտևորող կորոնար զարկերակը (CX)-աթերոսկլերոտիկ ախտահարված է՝ առանց տեսանելի նեղացումների, աջ կորոնար զարկերակը (RCA) աթերոսկլերոտիկ ախտահարված է՝ առանց տեսանելի նեղացումների:
Շտապ կատարվել է Ձախ առաջային վայրէջ կորոնար զարկերակի (LAD) ռեվասկուլյարիզացիա եւ բազմակի բալոն դիլատացիա:
Ինտուբացվել է Ձախ կորոնար զարկերակի հիմնական ցողունը (LM):
Լարն անցել է (LAD) հեռակա հատվածները:
Կատարվել է (LAD) մոտակա եւ միջին հատվածների in stent բազմակի բալոն դիլատացիա Medtronic Solarice 3.5 mm x 20 mm բալոնով:
Արդյունքում վերականգնվել է արյան անտեգրատ հոսքը (TIMI III):
Վիրահատությունն իրականացրել է ինտերվենցիոն սրտաբան Պողոս Հրայրի Սարգիսյանը:
Այսպիսով, հաջողվեց հիվանդի կյանքին վտանգ սպառնացող վիճակից դուրս բերել:
Մենք հորդորում ենք հիվանդներին չդադարեցնել դեղերի ընդունումը:











«Արմենիա» ՀԲԿ
ինտերվենցիոն սրտաբան` Պողոս Հրայրի Սարկիսյան
Էլ.հասցե. [email protected]
Հեռախոս. +374 96 07 06 69
02.07.2018
Տղամարդ` 59 տարեկան, ռիսկի գործոններ. ճարպակալում զարկերակային հիպերտենզիա՝ II*, բարձր ռիսկ, հիպերխոլեսթերինէմիա (խոլեսթերին - 8.1), ծխախոտի չառաշահում, ժառանգականությունը` ծանրաբեռնված (մոր մոտ զարկերակային հիպերտենզիա...
14.02.2018
Տղամարդ 69 տարեկան, ռիսկի գործոններ՝ զարկերակային հիպերտենզիա, նախկինում կրած իշեմիկ ինսուլտ, ժառանգականությունը. խիստ ծանրաբերնված ( հոր մոտ ՍԻՀ սրտամկանի ինֆարկտ և մահ, երկու եղբայրների մոտ սրտամկանի ինֆարկտ...
09.02.2018
Աջ կորոնար զարկերակի (RCA) ռեվասկուլյարիզացիա և ստենտավորում «Stent for life» ՀՀ պետծրագրի շրջանակում
Տղամարդ` 59 տարեկան, ռիսկի գործոններ. ճարպակալում զարկերակային հիպերտենզիա...
07.12.2017
Վլ.Ավագյանի անվան Բժշկական կենտրոնի Անոթային և լազերային վիրաբուժության բաժանմունքն առաջինն է ՀՀ-ում, որն սկսում է բիոսոսնձի կիրառումը վարիկոզի բուժման համար: Այն անփոխարինելի ու ժամանակակից միջոց է...
28.11.2017
Հիվանդը՝ 31 տարեկան կին, ընդունվել է «Արմենիա» հանրապետական բժշկական կենտրոնի վիրաբուժության կլինիկա «Արյունահոսություն մարսողական ուղուց» ախտորոշմամբ: Հիվանդը գանգատվում էր սրտխառնոցից, ընդհանուր թուլությունից...
03.05.2017
Վարիկոզ հիվանդության բուժման նոր մեթոդներ` ներանոթային թերմոօբլիտերացիայի սկզբունքով, տեղային անզգայացմամբ, առանց կտրվածքների: Միջազգային չափանիշներին համապատասխան վիրահատական միջամտություններն...
14.03.2017
Վարիկոզ հիվանդության բուժման նոր մեթոդներ` ներանոթային թերմոօբլիտերացիայի սկզբունքով, տեղային անզգայացմամբ, առանց կտրվածքների: Միջազգային չափանիշներին համապատասխան վիրահատական միջամտություններն...
10.03.2017
ԱՄԵՆԱԸՆԹԵՐՑՎԱԾ ՀՈԴՎԱԾՆԵՐԸ
-
Ժողովրդական դեղամիջոցներ
-
Հղիություն. 4-րդ ամիս
-
Հղիություն. 7-րդ ամիս
-
Կոճապղպեղ նույնն է՝ իմբիր, Ginger եւ Zingiber Officinale
-
«Արագիլ» հիմնադրամը ստեղծված է՝ օգնելու անպտղությամբ տառապող զույգերին. Կարինե Թոխունց
-
Հղիություն. 6-րդ ամիս
-
Հղիություն. 2-րդ ամիս
-
Ամուսնական առաջին գիշերը
- 4-7 ամսական երեխաների սնուցումը
-
Ընկերության մասին
-
Խնձորը` պզուկների դեմ. ազատվիր նրանցից 1 գիշերվա ընթացքում
-
Ինչպես ազատվել անցանկալի մազերից
-
Պարզվում է ապագա երեխայի սեռը կախված է մայրիկի սնունդից
-
Դդում
-
Հիվանդություն, որը փոխում է մեր կյանքը` կրծագեղձի քաղցկեղ
-
Կոճապղպեղ՝ նիհարելու համար (կոճապղպեղի թեյ)
-
Սեռական գրգռում
-
Արգանդի միոմա. նախանշանները, պատճառներն ու բուժումը
-
Հղիություն. 1-ին ամիս
-
Երիցուկ դեղատնային - Ромашка аптечная - Matricaria chamomilla L.
-
Չիչխանի օգտակար հատկությունները
-
Քարավուզ (նույն ինքը՝ նեխուր)
-
Ինչպես ազատվել բերանի վատ հոտից`պարզ միջոց
-
Դիմակներ` մազերի համար
-
Կրծքի ցավե՞ր ունեք. ինչ անել
-
Հեշտոցային արտադրության պատճառները. մասնագետի անդրադարձը
-
Ընդհանուր տեղեկություններ մարմնի համակարգերի մասին
- Բերանի խոռոչի լորձաթաղանթի ախտահարումը սովորական բշտախտի ժամանակ (սկիզբը` նախորդ համարում)
-
Հիվանդություն, որի համար պետք չէ ամաչել (թութք)
-
Ընտրություն ըստ հորոսկոպի
- Խոսենք այդ մասին. ձեռնաշարժություն
-
Հղիությունը և նախապատրաստվելը դրան
-
Երբ գլխացավն ախտանիշ է: Հանճարեղ և օժտված մարդկանց հիվանդություն
-
Լեղաքարային հիվանդություն. բուժման մեթոդները
-
Սեռական թուլության առաջին նախանշանները. news.am
-
Ուլտրաձայնային դոպլերոգրաֆիա (երկակի (դուպլեքս) անոթների)
-
Էկզեմայի տեսակները և բուժումը
-
Իրիդիոսքրինինգ
-
ՈւՆԱԲԻ: Արևելյան բժշկության գաղտնիքները
-
Գամմա-դանակը նշտարի փոխարեն















Գիտական բժշկություն
Հիվանդություններ
Ավանդական բժշկություն
Առողջ ապրելակերպ
Կոսմետոլոգիա
Բժշկական իրավունք
Ալգորիթմեր, թեստեր
Թվեր, փաստեր, դեպքեր
Պատմական խրոնիկա
Աֆորիզմներ
Կարիերային սանդուղքով
Երեխա
Կին
Տղամարդ
Ռեյթինգային համակարգ