ԼՈՒՐԵՐ: Ուռուցքաբանություն
Հենաշարժիչ համակարգի քաղցկեղը մեր բժիշկների կողմից հաղթահարված է ՝ օրգանի պահպանմամբ. nairimed.com
1 . ՌԴ-ում երկրորդային բնույթի կոտրվածքի ֆիքսացիա իրականացնելուց հետո՝ 40-ամյա բուժառուն դիմել է «Նաիրի» ԲԿ։ Բուժառուի մոտ ախտորոշվել է ոսկրային պլազմոցիտոմա։ Քիմոթերապիա ստանալուց հետո՝ 40-ամյա բուժառուն վիրահատվել է։ Կոնք-ազդրային հոդի հետ միասին հեռացվել է ազդրոսկրի վերին երրորդականը։
Առաջացած դեֆորմացիան շտկվել է էնդոպրոթեզով: «Նաիրի» ԲԿ-ի փորձառու թիմի և պրոֆեսիոնալ մոտեցման շնորհիվ՝ հաջողվել է պահպանել բուժառուի գործող վերջույթը։

Վիրահատությունից առաջ Վիրահատությունից հետո
2. Բժշկական տարբեր կենտրոններում հետազոտվելուց հետո՝ 17-ամյա պատանին դիմել է «Նաիրի» ԲԿ։ Համապատասխան հետազոտություններ անցնելուց հետո՝ բուժառուի մոտ հայտնաբերվել է ոլոքի օստեոսարկոմա (ոսկրային քաղցկեղ): Նախավիրահատական բուժում ՝ քիմիոթերապիա, ստանալուց հետո՝ «Նաիրի» ԲԿ ում կատարվել է օրգանապահպան վիրահատություն : Հեռացվել են ծնկահոդն ու ոլոքի վերին երորդականը: Առաջացած դեֆորմացիան շտկել է Եվրոպայից պատվիրված էդոպրոթեզով, որը հնարավորություն է տվել պահպանել վերջույթի գործառույթը՝ քայլել, վազել և այլն։ Հետվիրահատական շրջանում բուժառուն ստացել է քիմիոթերապիա։ Այժմ գտնվում է բժիշկների հսկողության ներքո։

Վիրահատությունից առաջ Վիրահատությունից հետո
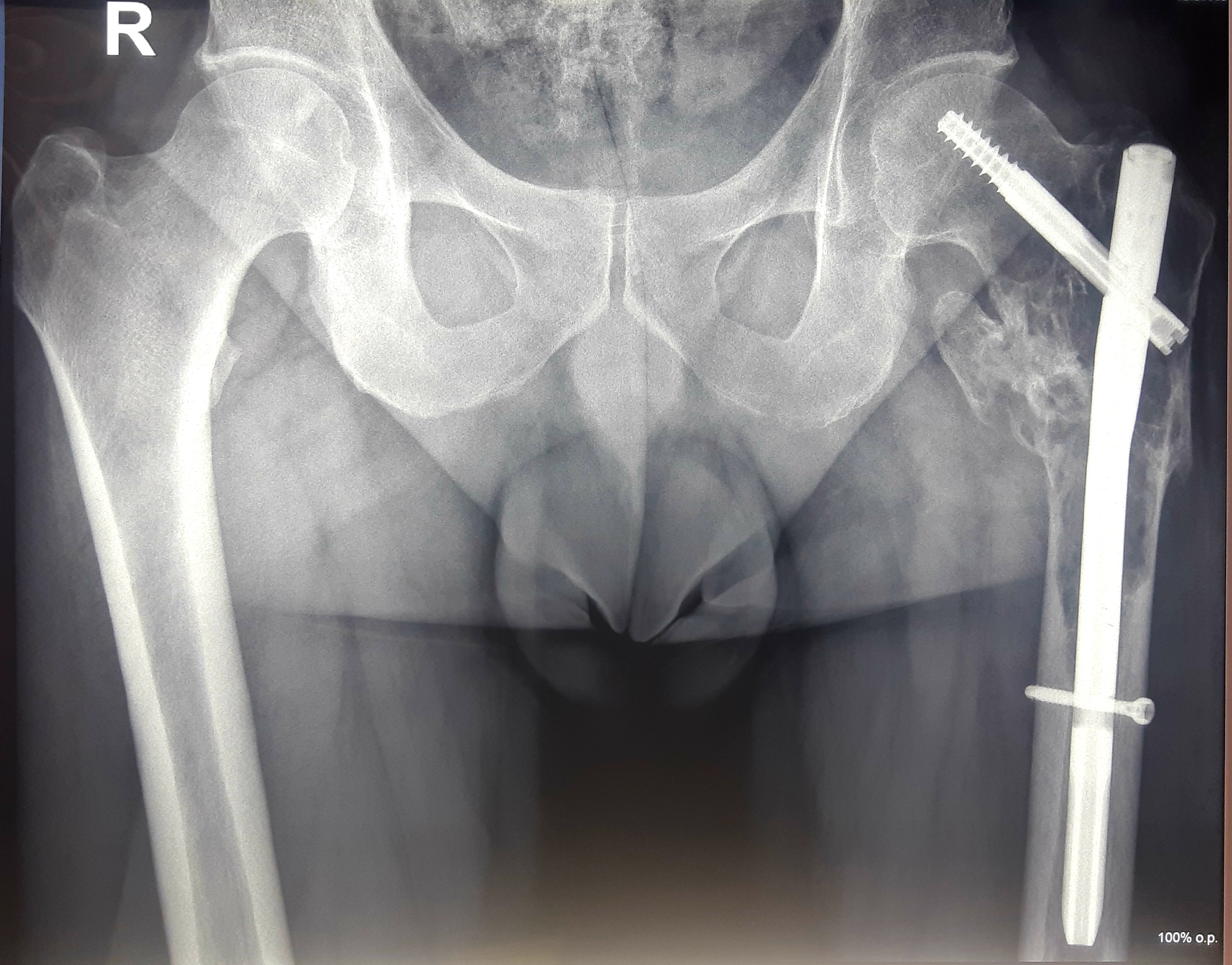
3․Մետաստազ ազդրոսկր + կոնք-ազդրային հոդ
68-ամյա պացիենտի մոտ ախտորոշվել էր թոքի քաղցկեղ։ Անցնելով համապատասխան հետազոտություններ՝ պացիենտի ոսկրային հատվածում հայտնաբերվել էին սոլիտար (եզակի) մետաստազներ: Բուժման նպատակով ՝ վերջինս ստացել է քիմոթերապիայի կուրսեր։
Հաշվի առնելով օրգանիզմի դրական պատասխանը քիմիոթերապիայի և ուռուցքի զգայունությունը դեղորայքի նկատմամբ։ Իրականացվել է ռադիկալ վիրահատություն։ Հեռացվել է ազդոսկրի վերին երրորդականը, առաջացած դեֆեկտը շտկվել է մոդուլային էնդոպրոթեզով՝ վերջույթի ֆունկցիայի կայուն վերականգնմամբ։ 68-ամյա բուժառուն ստացել է հետվիրահատական դեղորդայքային բուժում։ Վերջինս իրեն լավ է զգում։

Վիրահատությունից առաջ Վիրահատությունից հետո
4․Ուսահոդ հսկաբջջային (միջանկյալ ուռուցք՝ չարորակ դառնոլու միտումով )
14-ամյա երեխայի մոտ ախտորոշվել էր հակաբջջային ուռուցքի լիտիկ և ուռուցքի լիտիկ տարբերակ՝ ոսկրի արտահայտված փափուկ հյուսվածքային կոմպոնենտով և ներաճով դեպի թևատակի բջջանք ու դելտանման մկան : Կատարվել է ոսկրի մասնակի հեռացում, առաջացած դեՖեկտը վերականգնվել է մետաղացեմենտային սպեյսերով , որը հթույլ տվել հետագայում իրականացնել կոնվերսիա և ժամանակավոր պրոթեզը փոխարինել վերջնականով : Այս մեթոդը թույլ է տալիս խնայել արդքան թանկ ժամանակը ՝ մինչև էնդոպրեթեզի պատրաստ լինելու։

Վիրահատությունից առաջ Վիրահատությունից հետո
5․Ազդորոսկրի խոնդրոսարկոմա
37-ամյա տղամարդուն անհանգստացնում էին ազդրի երրորդականում առկա ցավերը։ Պացիենտի մոտ ախտորոշվել էր ազդրոսկորի խոնդրոսարկոմա (ուռուցք )։ Հաշվի առնելով, որ ուռուցքի այդ տեսակը ենթակա չէ քիմիաթերապիայի՝ մասնագետները դիտարկեցին վիրահատության երկու տարբերակ՝ ամպուտացիա (վերջույթների հատում) , պահպանողական վիրահատություն : Ընտրվեց 2-րդ տարբերակը՝ ուռուցքնա ամբողջությամբ հեռացվեց։ Առաջացած դեֆեկտը վերականգնվեց Եվրոպայում պատվիրված էնդոպրոթեզով, որի շնորհիվ պահպանել է վերջույթը , հիվանդը կարողանում քայլել: Հիիվանդությունից տարիներ են անցել, պացիենտը լիարժեք առողջ է։

Վիրահատությունից առաջ Վիրահատությունից հետո
Բոլոր վիրահատություններն իրականցվել են «Նաիրի» ԲԿ-ի օնկոօրթոպեդիայի և ոսկրային պաթոլոգիայի ծառայության ղեկավար ՝ բ.գ.թ. Գալուստ Գալուստյան ղեկավարությամբ։ Բժշկի մեկնաբանմամբ՝ այն վիրահատությունները, որոնք կատարվում են մեր « Նաիրի» ԲԿ-ում ՝ իրականացվում են նաև աշխարհի առաջատար կլինիկաններում։ Դրա ապացույցն է պացիենտների ապրելիության ցուցանիշը և ֆունկցիոնալ արդյունքները :
10.02.2023 Կարդացեք նաև
Գլխուղեղի ուռուցքները կարող են լինել թե՛ բարորակ, թե՛ չարորակ։ Սակայն նույնիսկ բարորակ գոյացությունները կարող են վտանգավոր լինել, քանի որ ճնշում են գլխուղեղի...
16.04.2025
Սքրինինգային մամոգրաֆիայի էր դիմել 50 տարեկան կին` առանց որևէ գանգատի: Նրա մոտ կանխարգելիչ (սքրինինգ) հետազոտությամբ դիտարկվեցին փոփոխված, մալիգնիզացված կալցիֆիկատներ: Պացիենտին առաջարկվեց իրականացնել...
30.08.2022
Խոշոր քայլերով զարգացող բժշկագիտության բնագավառում ուռուցքաբանությունը ևս անվերջ նոր նվաճումներ է գրանցում: Դրանցից է վերջերս «Նաիրի» բժշկական կենտրոնում ներդրված և արդյունավետ կիրառվող գինեկոլոգական որոշ...
03.08.2022
«Էրեբունի» ԲԿ-ում կատարվել է լյարդի հազվադեպ ուռուցքի վիրահատական միջամտություն՝ ներանոթային եղանակով:Բավական մեծ չափերի՝ 10 սմ տրամագծով բարորակ գոյացության բուժումն իրականացվել է ոչ թե բաց վիրահատական...
07.12.2021
Ոսկրային սարկոմաներն ախտահարում են կմախքի գրեթե բոլոր հատվածները, որի արդյունքում խնդիր է առաջանում հեռացված հատվածի ռեկոնստրուկտիվ վիրահատությունների շնորհիվ վերականգնել վերջույթի ֆունկցիան...
07.05.2021
«Արթմեդ» ԲՎԿ ընդհանուր և որովայնային բաժանմունքը բացվել է 2009 թվականին: Թիմը, որով ձևավորվել է բաժանմունքը, գործում է է բ.գ.դ., պրոֆեսոր Արթուր Մուշեղի Սահակյանի ղեկավարությամբ դեռ 2004 թ.-ից...
06.02.2021
Քաղցկեղը, հատկապես որովայնային տեղակայության պարագայում, հիմնականում զարգանում է դանդաղ ու առանց ախտանշանների և իրեն զգացնել տալիս բավական ուշ փուլերում, երբ կա քաղցկեղի լայն տարածում...
06.02.2021
ԱՄԵՆԱԸՆԹԵՐՑՎԱԾ ՀՈԴՎԱԾՆԵՐԸ
-
Ժողովրդական դեղամիջոցներ
-
Հղիություն. 4-րդ ամիս
-
Հղիություն. 7-րդ ամիս
-
Կոճապղպեղ նույնն է՝ իմբիր, Ginger եւ Zingiber Officinale
-
«Արագիլ» հիմնադրամը ստեղծված է՝ օգնելու անպտղությամբ տառապող զույգերին. Կարինե Թոխունց
-
Հղիություն. 6-րդ ամիս
-
Հղիություն. 2-րդ ամիս
-
Ամուսնական առաջին գիշերը
- 4-7 ամսական երեխաների սնուցումը
-
Ընկերության մասին
-
Խնձորը` պզուկների դեմ. ազատվիր նրանցից 1 գիշերվա ընթացքում
-
Ինչպես ազատվել անցանկալի մազերից
-
Պարզվում է ապագա երեխայի սեռը կախված է մայրիկի սնունդից
-
Դդում
-
Հիվանդություն, որը փոխում է մեր կյանքը` կրծագեղձի քաղցկեղ
-
Կոճապղպեղ՝ նիհարելու համար (կոճապղպեղի թեյ)
-
Սեռական գրգռում
-
Արգանդի միոմա. նախանշանները, պատճառներն ու բուժումը
-
Հղիություն. 1-ին ամիս
-
Երիցուկ դեղատնային - Ромашка аптечная - Matricaria chamomilla L.
-
Չիչխանի օգտակար հատկությունները
-
Քարավուզ (նույն ինքը՝ նեխուր)
-
Ինչպես ազատվել բերանի վատ հոտից`պարզ միջոց
-
Դիմակներ` մազերի համար
-
Կրծքի ցավե՞ր ունեք. ինչ անել
-
Հեշտոցային արտադրության պատճառները. մասնագետի անդրադարձը
-
Ընդհանուր տեղեկություններ մարմնի համակարգերի մասին
- Բերանի խոռոչի լորձաթաղանթի ախտահարումը սովորական բշտախտի ժամանակ (սկիզբը` նախորդ համարում)
-
Հիվանդություն, որի համար պետք չէ ամաչել (թութք)
-
Ընտրություն ըստ հորոսկոպի
- Խոսենք այդ մասին. ձեռնաշարժություն
-
Հղիությունը և նախապատրաստվելը դրան
-
Երբ գլխացավն ախտանիշ է: Հանճարեղ և օժտված մարդկանց հիվանդություն
-
Լեղաքարային հիվանդություն. բուժման մեթոդները
-
Սեռական թուլության առաջին նախանշանները. news.am
-
Ուլտրաձայնային դոպլերոգրաֆիա (երկակի (դուպլեքս) անոթների)
-
Էկզեմայի տեսակները և բուժումը
-
Իրիդիոսքրինինգ
-
ՈւՆԱԲԻ: Արևելյան բժշկության գաղտնիքները
-
Գամմա-դանակը նշտարի փոխարեն















Գիտական բժշկություն
Հիվանդություններ
Ավանդական բժշկություն
Առողջ ապրելակերպ
Կոսմետոլոգիա
Բժշկական իրավունք
Ալգորիթմեր, թեստեր
Թվեր, փաստեր, դեպքեր
Պատմական խրոնիկա
Աֆորիզմներ
Կարիերային սանդուղքով
Երեխա
Կին
Տղամարդ
Ռեյթինգային համակարգ
