ԼՈՒՐԵՐ: Ուռուցքաբանություն
Կլինիկական դեպք. թիակի ամբողջական հեռացում` Յուինգի սարկոմայի կապակցությամբ. nairimed.com
Ոսկրային սարկոմաներն ախտահարում են կմախքի գրեթե բոլոր հատվածները, որի արդյունքում խնդիր է առաջանում հեռացված հատվածի ռեկոնստրուկտիվ վիրահատությունների շնորհիվ վերականգնել վերջույթի ֆունկցիան: Որոշ դեպքերում դա հաջողվում է, իսկ որոշ դեպքերում, ցավոք, ամոքիչ վիրահատության հարց է առաջանում:
Շատ լուրջ խնդիր է առաջանում տափակ ոսկրերի ռեզեկցիաների ժամանակ, որոնք կրում են կարևոր ֆունկցիոնալ դեր: Դրանց են պատկանում թիակի ախտահարումները: Թիակը՝ բացի կարևոր ֆունկցիոնալ դերից, կրում է նաև էսթետիկ դեր: Թիակի մարմնի ռեզեկցիաները, անկախ իրենց ծավալից, գլենոիդի պահպանմամբ չեն բերում ֆունկցիոնալ մեծ խանգարումների: Սակայն թիակի սարկոմաների ժամանակ, երբ թիակի ամբողջական հեռացման հարց է դրվում, բացի ֆունկցիոնալ խանգարումներից, առաջանում են վերջույթի կախվելու տեսքով էսթետիկ շեղումների խնդիր: Դրանք լինում է այն դեպքում, երբ չի հաջողվում պահպանել անրակի ակրոմիալ հատվածն` իր կապաններով։
Ներկայացված կլինկական դեպքում, 14 տարեկան տղայի մոտ, ախտորոշվել էր թիակի Յուինգի սարկոմա: Ի սկզբանե, գոյացության չափերը մեծ էին և ախտահարված էր ամբողջ թիակը:
Նեոադյուվանտ քիմիաթերապիայի կուրսերից հետո հաջողվեց ամբողջովին վերացնել ուռուցքի փափուկ հյուսվածքային կոմպոնենտը և կատարել ռադիկալ վիրահատություն` պահպանելով անրակի ակրոմեալ հատվածn` իր կապաններով, որոնց ֆիքսվեց ուսահոդու շապիկի մնացած հատվածը:
Ուռուցքաբանության մեջ առաջին պահանջը ռադիկալ վիրահատությունն է, իսկ երկրորդը՝ վերականգնել այն, ինչ հեռացվել է: Թիակի ամբողջական հեռացումից հետո ունենալ գերազանց ֆունկցիոնալ արդյունքներ, գրեթե անհնար է, քանզի հեռացվում է ամբողջ հոդամակերեսը: Իսկ էսթետիկ առումով շատ կարևոր է կանխել վերջույթի կախվելը: Մեր այս դեպքում, հաջողվեց ստանալ այնպիսի էսթետիկ և ֆունկցիոնալ ուսագոտի, որը լիովին բավարարում է հիվանդին:
Նման վիրահատությունները հազվադեպ են իրենց ծավալով և պետք է կատարվեն համապատասխան մասնագետների կողմից։
Վիրահատությունը իրականացրել է Օրթոպեդիայի և վնասվածքաբանության կլինիկայի ղեկավար, բ․գ․թ Սարգիս Նազարի Մարգարյանը

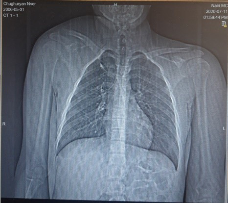
Նկար 1․ Թիակի ռադիոլոգիական պատկերը
Նկար 2․ Վիրահատությունից հետո ` առկա է գերազանց էսթետիկ արդյունք
07.05.2021 Կարդացեք նաև
Գլխուղեղի ուռուցքները կարող են լինել թե՛ բարորակ, թե՛ չարորակ։ Սակայն նույնիսկ բարորակ գոյացությունները կարող են վտանգավոր լինել, քանի որ ճնշում են գլխուղեղի...
16.04.2025
Սքրինինգային մամոգրաֆիայի էր դիմել 50 տարեկան կին` առանց որևէ գանգատի: Նրա մոտ կանխարգելիչ (սքրինինգ) հետազոտությամբ դիտարկվեցին փոփոխված, մալիգնիզացված կալցիֆիկատներ: Պացիենտին առաջարկվեց իրականացնել...
30.08.2022
Խոշոր քայլերով զարգացող բժշկագիտության բնագավառում ուռուցքաբանությունը ևս անվերջ նոր նվաճումներ է գրանցում: Դրանցից է վերջերս «Նաիրի» բժշկական կենտրոնում ներդրված և արդյունավետ կիրառվող գինեկոլոգական որոշ...
03.08.2022
«Էրեբունի» ԲԿ-ում կատարվել է լյարդի հազվադեպ ուռուցքի վիրահատական միջամտություն՝ ներանոթային եղանակով:Բավական մեծ չափերի՝ 10 սմ տրամագծով բարորակ գոյացության բուժումն իրականացվել է ոչ թե բաց վիրահատական...
07.12.2021
«Արթմեդ» ԲՎԿ ընդհանուր և որովայնային բաժանմունքը բացվել է 2009 թվականին: Թիմը, որով ձևավորվել է բաժանմունքը, գործում է է բ.գ.դ., պրոֆեսոր Արթուր Մուշեղի Սահակյանի ղեկավարությամբ դեռ 2004 թ.-ից...
06.02.2021
Քաղցկեղը, հատկապես որովայնային տեղակայության պարագայում, հիմնականում զարգանում է դանդաղ ու առանց ախտանշանների և իրեն զգացնել տալիս բավական ուշ փուլերում, երբ կա քաղցկեղի լայն տարածում...
06.02.2021
ԱՄԵՆԱԸՆԹԵՐՑՎԱԾ ՀՈԴՎԱԾՆԵՐԸ
-
Ժողովրդական դեղամիջոցներ
-
Հղիություն. 4-րդ ամիս
-
Հղիություն. 7-րդ ամիս
-
Կոճապղպեղ նույնն է՝ իմբիր, Ginger եւ Zingiber Officinale
-
«Արագիլ» հիմնադրամը ստեղծված է՝ օգնելու անպտղությամբ տառապող զույգերին. Կարինե Թոխունց
-
Հղիություն. 6-րդ ամիս
-
Հղիություն. 2-րդ ամիս
-
Ամուսնական առաջին գիշերը
- 4-7 ամսական երեխաների սնուցումը
-
Ընկերության մասին
-
Խնձորը` պզուկների դեմ. ազատվիր նրանցից 1 գիշերվա ընթացքում
-
Ինչպես ազատվել անցանկալի մազերից
-
Պարզվում է ապագա երեխայի սեռը կախված է մայրիկի սնունդից
-
Դդում
-
Հիվանդություն, որը փոխում է մեր կյանքը` կրծագեղձի քաղցկեղ
-
Կոճապղպեղ՝ նիհարելու համար (կոճապղպեղի թեյ)
-
Սեռական գրգռում
-
Արգանդի միոմա. նախանշանները, պատճառներն ու բուժումը
-
Հղիություն. 1-ին ամիս
-
Երիցուկ դեղատնային - Ромашка аптечная - Matricaria chamomilla L.
-
Չիչխանի օգտակար հատկությունները
-
Քարավուզ (նույն ինքը՝ նեխուր)
-
Ինչպես ազատվել բերանի վատ հոտից`պարզ միջոց
-
Դիմակներ` մազերի համար
-
Կրծքի ցավե՞ր ունեք. ինչ անել
-
Հեշտոցային արտադրության պատճառները. մասնագետի անդրադարձը
-
Ընդհանուր տեղեկություններ մարմնի համակարգերի մասին
- Բերանի խոռոչի լորձաթաղանթի ախտահարումը սովորական բշտախտի ժամանակ (սկիզբը` նախորդ համարում)
-
Հիվանդություն, որի համար պետք չէ ամաչել (թութք)
-
Ընտրություն ըստ հորոսկոպի
- Խոսենք այդ մասին. ձեռնաշարժություն
-
Հղիությունը և նախապատրաստվելը դրան
-
Երբ գլխացավն ախտանիշ է: Հանճարեղ և օժտված մարդկանց հիվանդություն
-
Լեղաքարային հիվանդություն. բուժման մեթոդները
-
Սեռական թուլության առաջին նախանշանները. news.am
-
Ուլտրաձայնային դոպլերոգրաֆիա (երկակի (դուպլեքս) անոթների)
-
Էկզեմայի տեսակները և բուժումը
-
Իրիդիոսքրինինգ
-
ՈւՆԱԲԻ: Արևելյան բժշկության գաղտնիքները
-
Գամմա-դանակը նշտարի փոխարեն















Գիտական բժշկություն
Հիվանդություններ
Ավանդական բժշկություն
Առողջ ապրելակերպ
Կոսմետոլոգիա
Բժշկական իրավունք
Ալգորիթմեր, թեստեր
Թվեր, փաստեր, դեպքեր
Պատմական խրոնիկա
Աֆորիզմներ
Կարիերային սանդուղքով
Երեխա
Կին
Տղամարդ
Ռեյթինգային համակարգ
