Բոլոր հոդվածները
| Սկիզբ | Վերջ | |
Բոկերիան աշխարհի այն սակավաթիվ սրտի վիրաբույժներից է, ով իրականացրել է սրտի բոլոր հայտնի վիրահատությունները դրա ամենատարբեր ախտաբանությունների ժամանակ: Վիրահատություններից շատերը...
22.12.2013
Հայ օգնության ֆոնդը (ՀՕՖ) ստեղծվել է 1988թ դեկտեմբերյան ավերիչ երկրաշարժից անմիջապես հետո` նախաձեռնությամբ և հովանավորությամբ Հայ առաքելական եկեղեցու ԱՄՆ Արևելյան թեմի։ Նպատակը բյուր կարիքների...
20.12.2013
Չինական մշակույթում որպես Մեծ թեյագետ հիշատակվող Լու Ույը (733-804 թթ.) հավատում էր, որ «եթե շատ թեյ խմես, ապա կարճ ժամանակ անց թևեր կաճեն ուսերիդ»...
15.12.2013
Ձմռանը մեր մաշկի հիմնական խնդիրը ցրտահարումն է, թեփոտումը, ինչի դեմ կարելի է պայքարել միայն ինտենսիվ խնամքով: Ձեզ ենք ներկայացնում դեմքի մաշկի ձմեռային խնամքի համար նախատեսված դիմակների 7...
10.12.2013
Կոկո Շանելն իր կյանքում շատ քիչ է ապրել երջանիկ պահեր, բայց երբեք չի կորցրել իր կանացի հմայքն ու գեղեցկությունը: Ավելին, նա կարողացել է նույնիսկ հազարավոր կանանց պարգևել ժպիտներ, գեղեցկություն ու երջանկություն, իսկ տղամարդկանց ստիպել...
10.12.2013
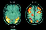
Կենսաբանական համակարգերի միջազգային ինստիտուտի բժշկա-ախտորոշիչ կենտրոնի Երևանյան մասնաճյուղը մոտ ապագայում սկսելու է իրականացնել այնպիսի նյարդաբանական ժամանակակից հետազոտություններ, որոնք մինչ օրս երբևէ չեն իրականացվել Հայաստանում ...
06.12.2013
Սեռական դաստիարակության բացթողումները լրացվում են հանրամատչելի դասախոսություններով: Դեկտեմբերի 4-ին Երևանի Մխիթար Հերացու անվան պետական բժշկական համալսարանի նիստերի դահլիճում էին հավաքվել մի խումբ...
05.12.2013
Օրգանիզմի մաքրման, դետոքսիկացիայի, նյութական կարգավորման նոր ծրագրեր.
- Իոն-դետոքս- ապարատային մեթոդ...
05.12.2013
ՍՔԵՆԱՌ-թերապիան բուժման ռեֆլեքսային, ոչ դեղամիջոցային, ոչ սպեցիֆիկ մեթոդ է, որի վերջնական արդյունքը ինքնավերականգնման բնական մեխանիզմների ակտիվացումն է...
03.12.2013
ՄԻԱՎ-ի նկատմամբ երիտասարդները խոցելի են ռիսկային վարքագծի` ակտիվ և անկանոն սեռական կյանքով ապրելու, մինչամուսնական սեռական հարաբերությունների, թմրամիջոցների գործածման մեջ ներգրավվածության...
01.12.2013
ԱՄԵՆԱԸՆԹԵՐՑՎԱԾ ՀՈԴՎԱԾՆԵՐԸ
-
Ժողովրդական դեղամիջոցներ
-
Հղիություն. 4-րդ ամիս
-
Հղիություն. 7-րդ ամիս
-
Կոճապղպեղ նույնն է՝ իմբիր, Ginger եւ Zingiber Officinale
-
«Արագիլ» հիմնադրամը ստեղծված է՝ օգնելու անպտղությամբ տառապող զույգերին. Կարինե Թոխունց
-
Հղիություն. 6-րդ ամիս
-
Հղիություն. 2-րդ ամիս
-
Ամուսնական առաջին գիշերը
- 4-7 ամսական երեխաների սնուցումը
-
Ընկերության մասին
-
Խնձորը` պզուկների դեմ. ազատվիր նրանցից 1 գիշերվա ընթացքում
-
Ինչպես ազատվել անցանկալի մազերից
-
Պարզվում է ապագա երեխայի սեռը կախված է մայրիկի սնունդից
-
Դդում
-
Հիվանդություն, որը փոխում է մեր կյանքը` կրծագեղձի քաղցկեղ
-
Կոճապղպեղ՝ նիհարելու համար (կոճապղպեղի թեյ)
-
Սեռական գրգռում
-
Արգանդի միոմա. նախանշանները, պատճառներն ու բուժումը
-
Հղիություն. 1-ին ամիս
-
Երիցուկ դեղատնային - Ромашка аптечная - Matricaria chamomilla L.
-
Չիչխանի օգտակար հատկությունները
-
Քարավուզ (նույն ինքը՝ նեխուր)
-
Ինչպես ազատվել բերանի վատ հոտից`պարզ միջոց
-
Դիմակներ` մազերի համար
-
Կրծքի ցավե՞ր ունեք. ինչ անել
-
Հեշտոցային արտադրության պատճառները. մասնագետի անդրադարձը
-
Ընդհանուր տեղեկություններ մարմնի համակարգերի մասին
- Բերանի խոռոչի լորձաթաղանթի ախտահարումը սովորական բշտախտի ժամանակ (սկիզբը` նախորդ համարում)
-
Հիվանդություն, որի համար պետք չէ ամաչել (թութք)
-
Ընտրություն ըստ հորոսկոպի
- Խոսենք այդ մասին. ձեռնաշարժություն
-
Հղիությունը և նախապատրաստվելը դրան
-
Երբ գլխացավն ախտանիշ է: Հանճարեղ և օժտված մարդկանց հիվանդություն
-
Լեղաքարային հիվանդություն. բուժման մեթոդները
-
Սեռական թուլության առաջին նախանշանները. news.am
-
Ուլտրաձայնային դոպլերոգրաֆիա (երկակի (դուպլեքս) անոթների)
-
Էկզեմայի տեսակները և բուժումը
-
Իրիդիոսքրինինգ
-
ՈւՆԱԲԻ: Արևելյան բժշկության գաղտնիքները
-
Գամմա-դանակը նշտարի փոխարեն















Գիտական բժշկություն
Հիվանդություններ
Ավանդական բժշկություն
Առողջ ապրելակերպ
Կոսմետոլոգիա
Բժշկական իրավունք
Ալգորիթմեր, թեստեր
Թվեր, փաստեր, դեպքեր
Պատմական խրոնիկա
Աֆորիզմներ
Կարիերային սանդուղքով
Երեխա
Կին
Տղամարդ
Ռեյթինգային համակարգ