Ստոմատոլոգիա
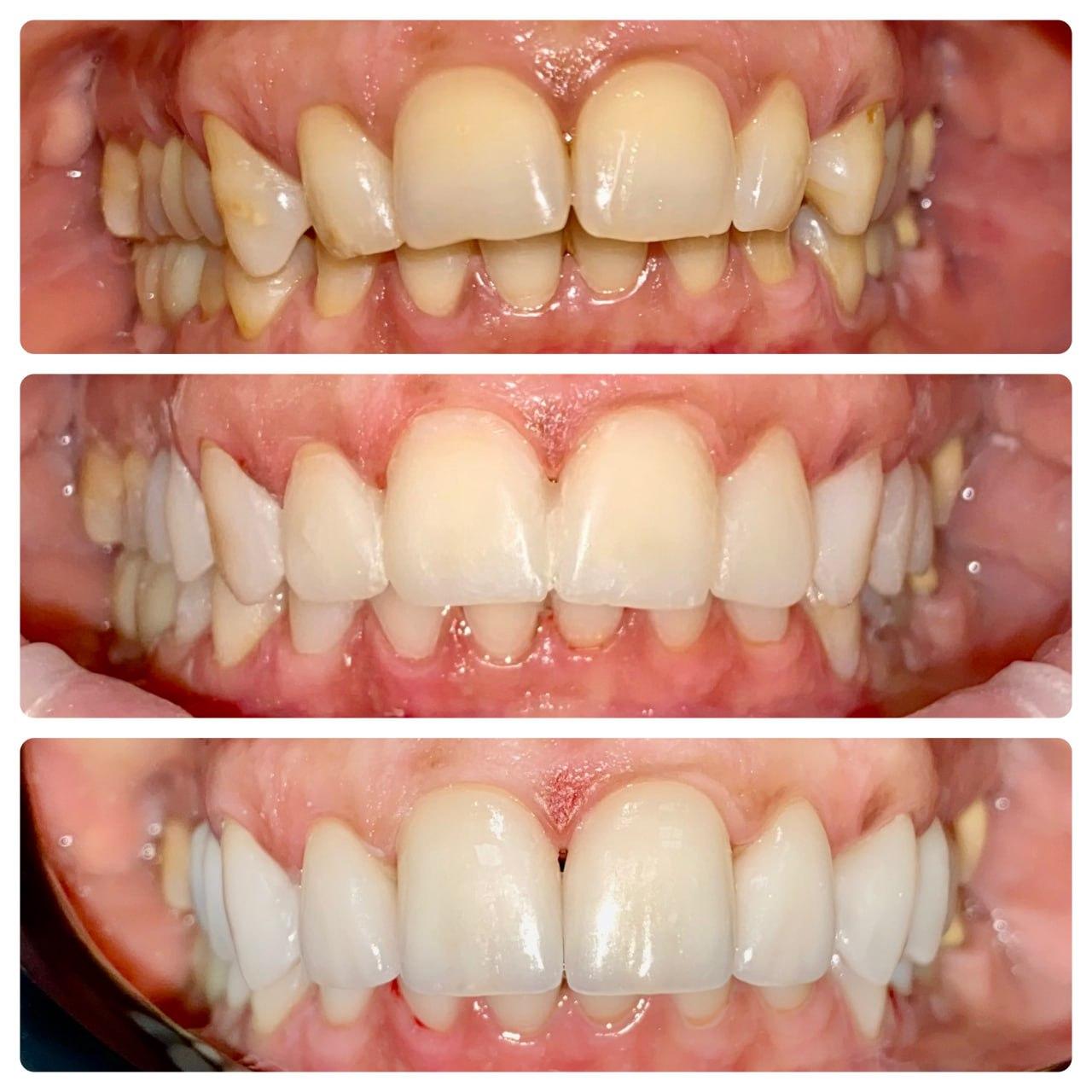
Հոլիվուդյան ժպիտի (վինիրների) դրական և բացասական կողմերը. հարցազրույց Wellmed ստոմատոլոգիական կենտրոնի ստոմատոլոգ-վիրաբույժ Վարդան Ստեփանյանի հետ

Հոլիվուդյան ժպիտ ունենալու գաղտնիքները բացահայտելու համար զրուցել ենք վերաբացված Wellmed ստոմատոլոգիական կենտրոնի ստոմատոլոգ-վիրաբույժ Վարդան Ստեփանյանին հետ:
- Ի՞նչ է վինիրը, որը ներկայում բավականին մեծ պահանջարկ ունի:
- Veneer` թարգմանաբար նշանակում է պաշտպանող ծածկույթ: Դրանք օրթոպեդիկ կոնստրուկցիաներ են, որոնց միջոցով կարելի է փոխել ատամի գույնը և ձևը: Վինիրները, որպես այդպիսին, նորույթ չեն, նրանց պատմությունը սկսվում է Հոլիվուդից։ 1920-ականների վերջին կինոյի դերասանների համար մշակվեց կատարյալ ժպիտ ստեղծելու միջոց և ստոմատոլոգ Պինկուսը աստղերին նվիրեց գեղեցիկ, փայլուն ժպիտ: Վինիրներ կրել են Օդրի Հեփբերնը, Ջուդի Գարլանդը և շատ ուրիշներ: Աստղերի շրջանում ծառայության պահանջարկն էլ հենց հանգեցրել է «հոլիվուդյան ժպիտ» տերմինի առաջացմանը։ Տեխնոլոգիան, իհարկե, անկատար էր. առաջին վինիրները փխրուն էին և ոչ երկարաատև: Իսկ 1980-ականներին տեղի ունեցավ հեղափոխություն. բարելավվեց վինիրների տեղադրումը։ Այսպիսով, կարելի է ասել, սկսվեց էսթետիկ ստոմատոլոգիայի դարաշրջանը։
- Ինչպե՞ս վինիր ընտրել:
- Պացիենտի հետ խորհրդատվությունից հետո, նրան վինիրների տեսակների դրական և բացասական բոլոր ազդեցությունները մանրամասն ներկայացնելուց հետո միայն խորհուրդ է տրվում ընտրել վինիրներ: Վինիրները բաժանվում են երկու տեսակի՝ կոմպոզիտային և կերամիկական: Կոմպոզիտները պատրաստվում են ատամնաբույժի կողմից` հենց բերանի խոռոչում, դրանք ավելի քիչ դիմացկուն են և շատ ավելի էժան, քան` կերամիկականները։
Կերամիկական վինիրներն, իրենց հերթին, բաժանվում են մի քանի ենթատեսակների՝ դասական, ծայրահեղ բարակ, վինիրներ 360 և այլն։
Բոլոր դեպքում, կերամիկական վինիրները անհատական հեղինակային աշխատանք են, որը պահանջում է ատամնաբույժի և ատամնատեխնիկի բարձր որակավորում, որը ներկայում լիիրավ ապահովում է մեր կլինիկան՝ Wellmed dental center-ը, որտեղ գործում է նաև թվային մեծ ատամնատեխնիկական լաբորատորիա:
- Արդյո՞ք ցավոտ է վինիրների տեղադրումը:
- Վինիրների ճիշտ, զգույշ և շատ նուրբ տեղադրումը գործընթացը դարձնում է անցավ:
- Որքա՞ն է վինիրների կյանքի տևողությունը:
- Ներկայում «Հոլիվուդյան ժպիտը» դարձել է երկարաժամկետ, հուսալի ու հասանելի բոլորին։ Կերամիկական վինիրները ծառայում են 20-30 տարի:
- Արդյո՞ք կան տարիքային սահմանափակումներ վինիրների տեղադրման համար:
- Որպես այդպիսին, տարիքային խիստ սահմանափակումներ չկան: Սովորաբար, վինիրները տեղադրվում են 18 տարեկանից սկսած՝ էմալի գույնի փոփոխության, ոչ ուղիղ ատամնաշարի, ատամների միջև հեռավորություննեըն ծածկելու, էմալի վնասվածքների և այլ էսթետիկ շտկումների դեպքում:
- Կա՞, արդյոք, հատուկ խնամք:
- Այո, անհրաժեշտ է խնամք, քանի որ բերանի խոռոչի ճիշտ հիգիենան կերկարացնի վինիրների կյանքը: Օրը երկու անգամ (առավոտյան և երեկոյան) պետք լվանալ ատամները: Ցանկալի է ուտելուց հետո ողողել բերանը և օգտագործել ատամի թել։ Սնունդ ընդունելիս պետք է խուսափել ջերմաստիճանի կտրուկ փոփոխություններից. օրինակ՝ տաք սուրճից անմիջապես հետո պաղպաղակ չուտել։ Խորհուրդ չի տրվում ատամով կոտրել ընկույզ, սերմեր և այլ պինդ մթերք։ Բրուքսիզմի առկայության դեպքում գիշերը պետք է բերանային պաշտպանիչ կրել: Այս պարզ կանոնները կփրկեն կարիեսից և վինիրների վաղ վերականգնման անհրաժեշտությունից։
- WellMed-ում ատամների էստեթիկ գեղեցկության համար գործո՞ւմ են ապառիկ պայմաններ:
- Այո, մեր կլինիկան տրամադրում է ապառիկ տարբերակ նաև բոլոր այն մարդկանց համար, ովքեր գնահատում են առողջ և գեղեցիկ ժպիտը:
- Ի՞նչ բարդություններ կարող են առաջանալ ոչ ճիշտ տեղադրված վինիրներից:
- Ոչ ճիշտ տեղադրված վինիրների արդյունքում առաջանում է վինիրների փշրում` կոտրում, իսկ առավել վտանգավոր՝ լնդերի ախտահարում՝, արյունահոսություն, ատամների գերզգայունություն, պուլպիտներ, ատամների գույնի փոփոխություն և այլն:
- Ո՞րքան ժամանակ է պահանջվում հոլիվուդյան ժպիտ ունենալու հանար:
- Եթե պացիենտի և ստոմոտոլոգի հետ համատեղ քննարկումների ընթացքում ամեն ինչ համաձայնեցվում է, ապա միջինը 14-16 օրվա ընթացքում վինիրները տեղադրվում են:

Կարդացեք նաև

Ատամների գույնը առողջության, ժառանգականության և ժպիտի արտացոլումն է: Այն ձևավորվում է մի քանի հիմնական բնական և արտաքին գործոնների համադրությամբ...


Ի՞նչ նպատակով են կատարվում օրթոգնատիկ վիրահատությունները:
Օրթոգնատիկ վիրահատությունների նպատակն է դիմածնոտային շրջանում վերականգնել էսթետիկ...


Կոսմետիկ ատամնաբուժության լոնդոնյան կենտրոնից բժիշկ Մերվին Դրույանի կարծիքով՝ կարևոր է, որ ատամների սպիտակեցումը բնական լինի, այսինքն՝ իր գույնով այն համապատասխանի աչքերի սպիտակին: Բրիտանացի բժիշկները համոզված են...


Մարդիկ հաճախ հետաձգում են ստոմատոլոգին այցելությունը։ Դիմանում են, սպասում՝ մտածելով, թե ցավ է, կանցնի։ Բայց իրականում խնդիրը գնալով բարդանում է, ու կարող է բարդանալ այնքան, որ բուժմամբ զբաղվի ոչ թե ստոմատոլոգը...


Անպատեհ ի հայտ եկող ատամնացավը լուրջ անհանգստություն է, հատկապես եթե սկսվում է հանգստյան օրերին կամ հատուկ իրադարձությունների նախօրեին, երբեմն էլ ստիպված ենք լինում օրերով...


Ժողովրդական բժշկությունն ունի բազմաթիվ բաղադրատոմսեր, որոնք օգնում են սաստիկ ատամնացավի դեպքում: takprosto կայքն առաջարկում է մի բաղադրատոմս, որը կօգնի ազատվել այդ տհաճ ցավից...


Ատամի արմատի ցանկացած վնասվածք անտանելի ցավ է առաջացնում։ Fithacker.ru կայքը գրում է, որ նյարդի վնասման մի քանի պատճառներ կան...


Ստոմատիտը բերանի խոռոչի հիվանդություն է, բավականին ցավոտ է, կարող է ի հայտ գալ բերանի խոռոչի լորձաթաղանթի տարբեր հատվածներում, լնդերի մոտ կամ լեզվի վերևի հատվածում...


Ստամոքսի և 12-մատնյա աղու խոցը ժամանակակից գաստրոէնտերոլոգիայի կարևորագույն խնդիրներից են։ Ամբողջ աշխարհում նկատվում է ստամոքսաղիքային տրակտի հիվանդությունների երիտասարդացում բացի դա տարեցների...


Բերանի խոռոչի օրգանների և հյուսվածքների տարբեր հիվանդությունների շարքում պարօդոնտի ախտահարումները մարդկային օրգանիզմի առավել հաճախ հանդիպող հիվանդություններն են։ Այս հիվանդություննները...


Հորմոններ են կոչվում ֆիզիոլոգիապես ակտիվ նյութերը, որոնք արտադրվում են հատուկ օրգաններով կամ մասնագիտացված բջիջների խմբերով, մտնում արյուն և ուրույն ազդեցություն են գործում առանձին օրգանների...





ԱՄԵՆԱԸՆԹԵՐՑՎԱԾ ՀՈԴՎԱԾՆԵՐԸ
-
Ժողովրդական դեղամիջոցներ
-
Հղիություն. 4-րդ ամիս
-
Հղիություն. 7-րդ ամիս
-
Կոճապղպեղ նույնն է՝ իմբիր, Ginger եւ Zingiber Officinale
-
«Արագիլ» հիմնադրամը ստեղծված է՝ օգնելու անպտղությամբ տառապող զույգերին. Կարինե Թոխունց
-
Հղիություն. 6-րդ ամիս
-
Հղիություն. 2-րդ ամիս
-
Ամուսնական առաջին գիշերը
- 4-7 ամսական երեխաների սնուցումը
-
Ընկերության մասին
-
Խնձորը` պզուկների դեմ. ազատվիր նրանցից 1 գիշերվա ընթացքում
-
Ինչպես ազատվել անցանկալի մազերից
-
Պարզվում է ապագա երեխայի սեռը կախված է մայրիկի սնունդից
-
Դդում
-
Հիվանդություն, որը փոխում է մեր կյանքը` կրծագեղձի քաղցկեղ
-
Կոճապղպեղ՝ նիհարելու համար (կոճապղպեղի թեյ)
-
Սեռական գրգռում
-
Արգանդի միոմա. նախանշանները, պատճառներն ու բուժումը
-
Հղիություն. 1-ին ամիս
-
Երիցուկ դեղատնային - Ромашка аптечная - Matricaria chamomilla L.
-
Չիչխանի օգտակար հատկությունները
-
Քարավուզ (նույն ինքը՝ նեխուր)
-
Ինչպես ազատվել բերանի վատ հոտից`պարզ միջոց
-
Դիմակներ` մազերի համար
-
Կրծքի ցավե՞ր ունեք. ինչ անել
-
Հեշտոցային արտադրության պատճառները. մասնագետի անդրադարձը
-
Ընդհանուր տեղեկություններ մարմնի համակարգերի մասին
- Բերանի խոռոչի լորձաթաղանթի ախտահարումը սովորական բշտախտի ժամանակ (սկիզբը` նախորդ համարում)
-
Հիվանդություն, որի համար պետք չէ ամաչել (թութք)
-
Ընտրություն ըստ հորոսկոպի
- Խոսենք այդ մասին. ձեռնաշարժություն
-
Հղիությունը և նախապատրաստվելը դրան
-
Երբ գլխացավն ախտանիշ է: Հանճարեղ և օժտված մարդկանց հիվանդություն
-
Լեղաքարային հիվանդություն. բուժման մեթոդները
-
Սեռական թուլության առաջին նախանշանները. news.am
-
Ուլտրաձայնային դոպլերոգրաֆիա (երկակի (դուպլեքս) անոթների)
-
Էկզեմայի տեսակները և բուժումը
-
Իրիդիոսքրինինգ
-
ՈւՆԱԲԻ: Արևելյան բժշկության գաղտնիքները
-
Գամմա-դանակը նշտարի փոխարեն